Ir al menú principal Ir al contenido principal Ir al pie de página Para Medicare Para Proveedores Para Agentes Para Empleadores English Para individuos y familias: Para individuos y familias Médica Dental Otros seguros complementarios Explorar cobertura a través de tu empleador Cómo comprar seguros de salud Tipos de seguro dental Período de Inscripción Abierta vs. Período Especial de Inscripción Ver todos los temas Comprar planes de seguros internacionales Guía para miembros Buscar un médico Ingresar a myCigna
Inicio Centro de información Biblioteca del bienestar Ecografía de seno

Ecografía de seno

Generalidades de la prueba

Una ecografía de seno usa ondas sonoras para formar una imagen de los tejidos que se encuentran dentro del seno. Una ecografía de seno puede mostrar todas las zonas del seno, incluida la zona más cercana a la pared torácica, que es difícil de evaluar con una mamografía. La ecografía de seno no usa rayos X ni otros tipos de radiación posiblemente perjudiciales.

Una ecografía de seno se usa para ver si un bulto en el seno está lleno de líquido (un quiste) o si es un bulto sólido. Una ecografía no reemplaza la necesidad de una mamografía, pero con frecuencia se usa para revisar resultados anormales de una mamografía.

En una ecografía de seno, una unidad pequeña manual, que se llama transductor, se desliza suavemente de un lado a otro del seno. Una computadora convierte las ondas sonoras en una imagen, en una pantalla de televisión. La imagen se llama sonograma o ecografía.

Por qué se hace

Por qué se hace

La ecografía de seno puede añadir información importante a los resultados de otras pruebas, como una mamografía o imágenes por resonancia magnética (MRI, por sus siglas en inglés). También podría proporcionar información que no se encuentra con una mamografía. Podría hacerse una ecografía de seno a fin de:

  • Encontrar la causa de los síntomas en el seno, como dolor, hinchazón y enrojecimiento.
  • Revisar un bulto en el seno, detectado en un autoexamen de los senos o en un examen físico. Se usa para ver si un bulto en el seno está lleno de líquido (es un quiste) o si es un bulto sólido. Es posible que un bulto que no tiene líquido o que tiene líquido con partículas flotantes requiera ser sometido a más pruebas.
  • Revisar los resultados anormales de una mamografía.
  • Examinar los senos en mujeres más jóvenes debido a que su tejido mamario a menudo es más denso y es posible que una mamografía no muestre muchos detalles.
  • Guiar la colocación de una aguja u otro tubo para drenar una recolección de líquido (quiste) o de pus (absceso), tomar una muestra de tejido mamario (biopsia) o guiar una cirugía de seno.
  • Prestar atención a los cambios en el tamaño de un quiste o de un abultamiento no canceroso (fibroadenoma).
  • Ver la extensión del cáncer en el seno.
  • Revisar los senos si usted tiene implantes mamarios de silicona o senos densos. En estas situaciones, es posible que una mamografía no detecte bultos en los senos.
Cómo prepararse

Cómo prepararse

Use un conjunto de dos piezas, de manera que resulte fácil desvestirse de la cintura para arriba.

Hable con su médico de cualquier preocupación que tenga sobre la necesidad de la prueba, sus riesgos, cómo se hará o qué significarán los resultados. Como ayuda para comprender la importancia de esta prueba, complete el formulario de información sobre pruebas médicas .

Cómo se hace

Cómo se hace

Una ecografía de seno es realizada, por lo general, por un técnico especialmente capacitado.

Le pedirán que se desvista de la cintura para arriba. Le darán una bata para que se coloque alrededor de los hombros. Quítese todas las joyas del cuello.

Se le pondrá gel en el seno para que el transductor pueda detectar las ondas sonoras a medida que se mueve de un lado a otro del seno. Se puede ver una imagen del tejido mamario en una pantalla de televisión.

Por lo general, una ecografía de seno dura entre 15 y 30 minutos. Es posible que se necesite más tiempo si se realizará un examen del seno o si también se está planificando realizar una biopsia. Es posible que le pidan que espere hasta que un radiólogo haya revisado las imágenes. El radiólogo podría querer realizar más vistas de ecografía de algunas áreas de su seno.

Qué se siente

Qué se siente

Cuando se le coloque gel en el seno, es posible que lo sienta frío. Sentirá una leve presión causada por el transductor a medida que se desliza por el seno, pero no debería sentir ninguna molestia a menos que su seno esté sensible debido a cambios fibroquísticos en el seno, un absceso u otra infección. No escuchará las ondas sonoras. Podría usarse una ecografía Doppler especial para revisar el flujo de sangre al seno; puede escuchar las ondas sonoras de este tipo de ecografía.

Riesgos

Riesgos

No se conocen riesgos en relación con la realización de una ecografía de seno.

Resultados

Resultados

Una ecografía de seno usa ondas sonoras para formar una imagen de los tejidos que se encuentran dentro del seno.

Es posible que el radiólogo hable con usted acerca de los resultados de la ecografía inmediatamente después de la prueba. Por lo general, los resultados completos están a disposición de su médico en el término de 1 a 2 días.

Ecografía de seno

Normal:


  • El tejido mamario tiene un aspecto normal. Si la prueba se realiza en ambos senos, el tejido tiene un aspecto similar.

Anormal:


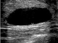
  • Presencia de un saco lleno de líquido ( quiste). Un bulto lleno de líquido que tiene una forma pareja y que no tiene partículas flotantes probablemente es un quiste simple. Es posible que no necesite más pruebas. Vea una imagen de ecografía de un quiste simple de seno.
  • Se encontró un quiste que tiene partículas (un quiste complejo). Es posible que necesite más pruebas.
  • Se encontró un bulto que tiene un aspecto sólido. Según el bulto, su edad y otros factores médicos, es posible que necesite que se le realice una biopsia o un seguimiento con otras pruebas.
Qué afecta esta prueba

Qué afecta esta prueba

Es posible que no se le pueda realizar la prueba o que los resultados no sean útiles si tiene una herida abierta en el área del seno.

Revisado: 26 marzo, 2025

Autor: El personal de Ignite Healthwise, LLC

Comité de revisión clínica
Todo el material educativo de Ignite Healthwise, LLC es revisada por un equipo que incluye médicos, enfermeras, profesionales sanitarios avanzados, dietistas registrados y otros profesionales de atención médica.

Esta información no reemplaza el consejo de un médico. Ignite Healthwise, LLC, niega toda garantía y responsabilidad por el uso de esta información. El uso que usted haga de esta información implica que usted acepta los Términos de Uso. Aprenda cómo desarrollamos nuestro contenido.

© 2024-2025 Ignite Healthwise, LLC.

Enlaces relacionados

Resonancia magnética del seno (mama) Pruebas médicas: Preguntas para hacerle al médico

<cipublic-spinner variant="large"><span>Loading…</span></cipublic-spinner>

Page Footer

Quiero...

Obtener una tarjeta ID Presentar un reclamo Ver mis reclamos y EOB Verificar la cobertura de mi plan Ver la lista de medicamentos con receta Buscar un médico, dentista o centro dentro de la red Buscar un formulario Buscar información del formulario de impuestos 1095-B Ver el Glosario de Cigna Comunicarme con Cigna

Audiencia

Individuos y familias Empleadores Agentes Proveedores

Sitios seguros para miembros

Portal myCigna para miembros Portal para proveedores de cuidado de la salud Cigna para empleadores Portal de recursos para clientes Cigna para agentes

Información sobre The Cigna Group

Acerca de Cigna Healthcare Perfil de la compañía Empleos Sala de prensa Inversionistas Distribuidores The Cigna Group Administradores externos Internacional Evernorth

 Cigna. Todos los derechos reservados.

Privacidad Asuntos legales Divulgaciones sobre productos Nombres de la compañía Cigna Derechos de los clientes Accesibilidad Aviso sobre no discriminación Asistencia idiomática [PDF] Reportar fraude Mapa del sitio Configuración de cookies

Aviso legal

Los planes individuales y familiares de seguro médico y dental están asegurados por Cigna Health and Life Insurance Company (CHLIC), Cigna HealthCare of Arizona, Inc., Cigna HealthCare of Illinois, Inc., Cigna HealthCare of Georgia, Inc., Cigna HealthCare of North Carolina, Inc., Cigna HealthCare of South Carolina, Inc. y Cigna HealthCare of Texas, Inc. Los planes de beneficios de salud y de seguro de salud de grupo están asegurados o administrados por CHLIC, Connecticut General Life Insurance Company (CGLIC) o sus afiliadas (puedes ver un listado de las entidades legales que aseguran o administran HMO para grupos, HMO dentales y otros productos o servicios en tu estado). Los planes o pólizas de seguro para lesiones accidentales, enfermedades críticas y cuidado hospitalario son distribuidos exclusivamente por o a través de subsidiarias operativas de Cigna Corporation, son administrados por Cigna Health and Life Insurance Company y están asegurados por (i) Cigna Health and Life Insurance Company (Bloomfield, CT), (ii) Life Insurance Company of North America (“LINA”) (Philadelphia, PA) o (iii) New York Life Group Insurance Company of NY (“NYLGICNY”) (New York, NY), anteriormente llamada Cigna Life Insurance Company of New York. El nombre Cigna, el logotipo y otras marcas de Cigna son propiedad de Cigna Intellectual Property, Inc. LINA y NYLGICNY no son afiliadas de Cigna.

Todas las pólizas de seguros y los planes de beneficios de grupo contienen exclusiones y limitaciones. Para conocer la disponibilidad, los costos y detalles completos de la cobertura, comunícate con un agente autorizado o con un representante de ventas de Cigna. Este sitio web no está dirigido a los residentes de New Mexico.

Al seleccionar estos enlaces saldrás de Cigna.com hacia otro sitio web que podría no ser un sitio web de Cigna. Cigna no puede controlar el contenido ni los enlaces de sitios web que no son de Cigna. Detalles