Ir al menú principal Ir al contenido principal Ir al pie de página Para Medicare Para Proveedores Para Agentes Para Empleadores English Para individuos y familias: Para individuos y familias Médica Dental Otros seguros complementarios Explorar cobertura a través de tu empleador Cómo comprar seguros de salud Tipos de seguro dental Período de Inscripción Abierta vs. Período Especial de Inscripción Ver todos los temas Comprar planes de seguros internacionales Guía para miembros Buscar un médico Ingresar a myCigna
Inicio Centro de información Biblioteca del bienestar Radiografía de un pecho normal

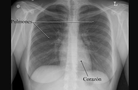
Radiografía de un pecho normal

Imagen de un pecho normal

Cortesía de Intermountain Medical Imaging, Boise, Idaho.

Esta es una imagen de una radiografía de pecho (tórax) normal de una mujer, que muestra los espacios llenos de aire de los pulmones y la forma gris más sólida del corazón. Los pulmones y el corazón son de tamaño y forma normales.

Revisado: 26 marzo, 2025

Autor: El personal de Ignite Healthwise, LLC

Comité de revisión clínica
Todo el material educativo de Ignite Healthwise, LLC es revisada por un equipo que incluye médicos, enfermeras, profesionales sanitarios avanzados, dietistas registrados y otros profesionales de atención médica.

Esta información no reemplaza el consejo de un médico. Ignite Healthwise, LLC, niega toda garantía y responsabilidad por el uso de esta información. El uso que usted haga de esta información implica que usted acepta los Términos de Uso. Aprenda cómo desarrollamos nuestro contenido.

© 2024-2025 Ignite Healthwise, LLC.

<cipublic-spinner variant="large"><span>Loading…</span></cipublic-spinner>

Page Footer

Quiero...

Obtener una tarjeta ID Presentar un reclamo Ver mis reclamos y EOB Verificar la cobertura de mi plan Ver la lista de medicamentos con receta Buscar un médico, dentista o centro dentro de la red Buscar un formulario Buscar información del formulario de impuestos 1095-B Ver el Glosario de Cigna Comunicarme con Cigna

Audiencia

Individuos y familias Empleadores Agentes Proveedores

Sitios seguros para miembros

Portal myCigna para miembros Portal para proveedores de cuidado de la salud Cigna para empleadores Portal de recursos para clientes Cigna para agentes

Información sobre The Cigna Group

Acerca de Cigna Healthcare Perfil de la compañía Empleos Sala de prensa Inversionistas Distribuidores The Cigna Group Administradores externos Internacional Evernorth

 Cigna. Todos los derechos reservados.

Privacidad Asuntos legales Divulgaciones sobre productos Nombres de la compañía Cigna Derechos de los clientes Accesibilidad Aviso sobre no discriminación Asistencia idiomática [PDF] Reportar fraude Mapa del sitio Configuración de cookies

Aviso legal

Los planes individuales y familiares de seguro médico y dental están asegurados por Cigna Health and Life Insurance Company (CHLIC), Cigna HealthCare of Arizona, Inc., Cigna HealthCare of Illinois, Inc., Cigna HealthCare of Georgia, Inc., Cigna HealthCare of North Carolina, Inc., Cigna HealthCare of South Carolina, Inc. y Cigna HealthCare of Texas, Inc. Los planes de beneficios de salud y de seguro de salud de grupo están asegurados o administrados por CHLIC, Connecticut General Life Insurance Company (CGLIC) o sus afiliadas (puedes ver un listado de las entidades legales que aseguran o administran HMO para grupos, HMO dentales y otros productos o servicios en tu estado). Los planes o pólizas de seguro para lesiones accidentales, enfermedades críticas y cuidado hospitalario son distribuidos exclusivamente por o a través de subsidiarias operativas de Cigna Corporation, son administrados por Cigna Health and Life Insurance Company y están asegurados por (i) Cigna Health and Life Insurance Company (Bloomfield, CT), (ii) Life Insurance Company of North America (“LINA”) (Philadelphia, PA) o (iii) New York Life Group Insurance Company of NY (“NYLGICNY”) (New York, NY), anteriormente llamada Cigna Life Insurance Company of New York. El nombre Cigna, el logotipo y otras marcas de Cigna son propiedad de Cigna Intellectual Property, Inc. LINA y NYLGICNY no son afiliadas de Cigna.

Todas las pólizas de seguros y los planes de beneficios de grupo contienen exclusiones y limitaciones. Para conocer la disponibilidad, los costos y detalles completos de la cobertura, comunícate con un agente autorizado o con un representante de ventas de Cigna. Este sitio web no está dirigido a los residentes de New Mexico.

Al seleccionar estos enlaces saldrás de Cigna.com hacia otro sitio web que podría no ser un sitio web de Cigna. Cigna no puede controlar el contenido ni los enlaces de sitios web que no son de Cigna. Detalles