Conoce sobre los beneficios médicos, dentales, de farmacia y voluntarios que tu empleador puede ofrecer.
Esta información es producida y suministrada por el Instituto Nacional del Cáncer (NCI, por sus siglas en inglés). La información en este tema puede haber cambiado desde que se escribió. Para la información más actual, comuníquese con el Instituto Nacional del Cáncer a través del Internet en la página web http://cancer.gov o llame al 1-800-4-CANCER.
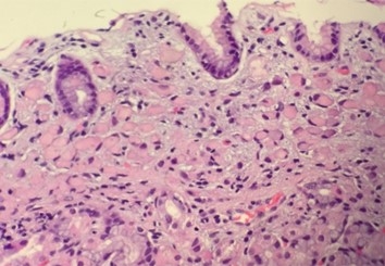
El cáncer gástrico difuso hereditario (HDGC) es un síndrome de cáncer hereditario autosómico dominante que aumenta el riesgo de cáncer gástrico difuso y cáncer de mama lobulillar. El HDGC se define por la presencia de variantes patogénicas de la línea germinal en el gen CDH1 que codifica la proteína de adhesión intercelular cadherina E. En pacientes con variantes patogénicas de CDH1, el cáncer gástrico en estadio temprano se caracteriza por focos intramucosos de carcinoma de células en anillo de sello mientras que el cáncer gástrico avanzado se presenta como un carcinoma de tipo difuso con poca cohesión y muy pocas células en anillo de sello típicas.[
En un número pequeño de familias con HDGC, se encuentran variantes patogénicas de otro gen, el CTNNA1. Este gen codifica la proteína de adhesión catenina α 1.[
Referencias:
A continuación se resumen las directrices para las pruebas genéticas del cáncer gástrico difuso hereditario (HDGC) del International Gastric Cancer Linkage Consortium (IGCLC) de 2020.[
Cuando una persona cumple con los criterios para las pruebas genéticas del HDGC, pero no se encuentra una variante patogénica en el gen CDH1, se recomienda obtener una prueba genética del gen CTNNA1.
Criterios para los antecedentes personales
Criterios para la historia familiar a
a Los casos de cáncer se deben presentar en FPG o familiares de segundo grado entre sí. El IGCLC recomienda que los familiares afectados se sometan a pruebas genéticas cuando sea posible. Es posible que los proveedores consideren analizar el tejido (tumoral o sano) de familiares fallecidos afectados si no hay familiares vivos con cáncer de mama o cáncer gástrico. Si ninguna de estas opciones es factible, los proveedores pueden considerar las pruebas genéticas en familiares no afectados. Por lo general, el cáncer gástrico difuso se diagnostica en un estadio avanzado (es decir, estadio III o estadio IV).[
Referencias:
En el 30 % al 40 % de familias, de origen étnicos diferentes, con casos de HDGC definidos mediante criterios clínicos se encuentran variantes patogénicas de la línea germinal en el gen CDH1 .[
En las familias con casos de cáncer similar al HDGC, se debe considerar la vigilancia endoscópica anual durante por lo menos 2 años después de recibir resultados negativos en las pruebas genéticas del gen CDH1 en las personas afectadas y sus FPG.[
Referencias:
El cáncer gástrico difuso hereditario (HDGC) se identificó por primera vez en una familia extensa de origen indígena maorí en Nueva Zelanda. En estas personas se encontró una variante patogénica germinal en el gen CDH1.[
Aspectos de la biología molecular
En 1995, se localizó el gen CDH1 (cadherina 1) en el cromosoma 16q22.1.[
En 1998, se determinó que las variantes patogénicas heterocigotas germinales en el gen supresor de tumores CDH1 pueden causar HDGC.[
En una revisión sistemática de la bibliografía de 1998 a 2021 se identificaron 571 variantes patogénicas germinales de CDH1, 387 (67,8 %) variantes notificadas en 108 familias diferentes.[
Correlaciones entre genotipo y fenotipo
Las variantes patogénicas en CDH1 exhiben una heterogeneidad considerable en cuanto a los tipos de cáncer y la edad de aparición de esta enfermedad en los portadores. Sin embargo, en una revisión de la literatura médica disponible sobre CDH1 entre 1985 y 2018, no se encontraron correlaciones definitivas entre genotipo y fenotipo que pudieran orientar el abordaje del paciente. En esta revisión se encontró que las variantes patogénicas en el gen CDH1 se distribuyen de manera uniforme por todo el gen y no se identificó predominancia de un tipo de variante (es decir, terminadoras, sin sentido o de cambio de sentido, etc.) ni de su ubicación.[
Se han observado posibles correlaciones entre genotipo y fenotipo en el gen CDH1 en familias con HDGC y labio leporino o paladar hendido. Sin embargo, no está claro cuales variantes patogénicas en el gen CDH1 producen labio leporino o paladar hendido. En 2006, se encontraron variantes en el sitio de empalme del gen CDH1 en dos familias con HDGC y labio leporino o paladar hendido. Las variantes en el sitio de empalme produjeron un empalme complejo y aberrante en los linfocitos.[
El International Gastric Cancer Linkage Consortium creó el término cáncer de mama lobulillar hereditario para describir a las personas con una variante patogénica en el gen CDH1 y antecedentes personales o familiares de cáncer de mama lobulillar, pero sin antecedentes personales o familiares conocidos de cáncer gástrico.[
En general, no hay datos suficientes sobre las posibles correlaciones entre genotipo y fenotipo del gen CDH1. Estos hallazgos no son lo suficientemente importantes como para guiar la evaluación del riesgo ni el control personalizado de este en función de las alteraciones en el gen CDH1.
Referencias:
Riesgo de cáncer gástrico
En portadores de variantes patogénicas en el gen CDH1, el riesgo de por vida de cáncer gástrico difuso (hasta los 80 años) oscila entre el 37 % y el 70 % en hombres y entre el 25 % y el 83 % en mujeres.[

Riesgo de cáncer de mama
En la población general, la mayoría de los casos de cáncer de mama corresponden a tipos ductales, mientras que cerca del 10 % son lobulillares.[
Referencias:
Intervención quirúrgica: Gastrectomía preventiva
La gastrectomía total preventiva con esofagoyeyunostomía (profiláctica o para reducir el riesgo) continúan siendo el tratamiento de elección para las personas con variantes patogénicas en el gen CDH1.[
Los desenlaces funcionales después de la gastrectomía total preventiva varían, pero la pérdida de peso es universal. En una serie se notificó entre el 15 % y el 20 % de pérdida de peso promedio después de la cirugía.[
Un grupo internacional de expertos publicó directrices de consenso para el seguimiento de los pacientes con cáncer gástrico difuso hereditario (HDGC) después de gastrectomía total preventiva.[
Vigilancia endoscópica
La gastrectomía total preventiva por lo general se considera el tratamiento de elección para los pacientes con HDGC porque es la única manera de minimizar el riesgo de cáncer gástrico mediante la extirpación del tejido gástrico de riesgo alto (dada la falta de lesiones precursoras identificables de manera sistemática en la endoscopia).[
Si bien la gastrectomía total preventiva continúa siendo el estándar de atención recomendado para el HDGC, se promueve una evaluación multidisciplinaria de las opciones de tratamiento a partir de varios aspectos: evidencia emergente de la vigilancia endoscópica, la tasa impredecible de progresión de células en anillo de sello a lesiones T1a y cáncer gástrico avanzado, además de la morbilidad quirúrgica. Hay una función de la vigilancia endoscópica en HDGC, en especial, para los pacientes que rechazan la cirugía o eligen diferir la gastrectomía total preventiva para el momento del diagnóstico de HDGC. En un estudio de cohorte prospectivo se analizaron 270 portadores asintomáticos de alteraciones de CDH1 (mediana de edad, 46,6 años; intervalo intercuartílico [IIC], 36,5–59,8) que rechazaron la gastrectomía total preventiva y participaron de vigilancia endoscópica con el protocolo de Cambridge (9 %) o el protocolo de Bethesda (91 %).[
La vigilancia endoscópica del HDGC tiene una función, en especial, en los pacientes que deciden diferir la gastrectomía total preventiva. Otros escenarios que pueden impulsar la vigilancia endoscópica son los siguientes:[
No hay características definitivas e identificables del cáncer gástrico difuso temprano ni lesiones precursoras de este cáncer que se puedan encontrar en la endoscopia. Las biopsias dirigidas de úlceras, áreas de eritema, nodularidad o nódulos, pólipos, erosiones y cicatrices revelan SSRC en menos del 10 % de las muestras.[
En otro estudio se informó sobre 33 pacientes con variantes patogénicas del gen CDH1 (mediana de edad, 32 años) que eran miembros de la familia original maorí en la que se descubrió por primera vez el HDGC. Los participantes se sometieron a 99 endoscopias de vigilancia, 93 de las cuales se realizaron con N-acetilcisteína como mucolítico seguido de tinción con los colorantes azul de metileno y rojo Congo.[
Si se opta por un abordaje endoscópico para la vigilancia del HDGC, se recomienda endoscopia anual, a menos que se encuentren características indicadoras de células en anillo de sello. Si se encuentran lesiones de células en anillo de sello en la endoscopia, se justifica el análisis por un equipo multidisciplinario.[
Control del riesgo de cáncer de mama
Las modalidades de detección sistemática del cáncer de mama en las mujeres con una variante patogénica en el gen CDH1 son las siguientes:
Imágenes por resonancia magnética de la mama:
Mamografía:
Otras imágenes:
Es posible considerar la mastectomía bilateral preventiva en mujeres con una variante patogénica en el gen CDH1 según la historia familiar de cáncer de mama, otros factores de riesgo de este cáncer o por decisión personal.[
Referencias:
Los resúmenes del PDQ con información sobre el cáncer se revisan con regularidad y se actualizan a medida que se obtiene nueva información. Esta sección describe los cambios más recientes introducidos en este resumen a partir de la fecha arriba indicada.
Se añadió
Se revisó el
Se revisó el
Se revisó el
La sección
La subsección
La subsección
El
Propósito de este resumen
Este resumen de información del PDQ sobre el cáncer dirigido a profesionales de la salud proporciona información integral revisada por expertos y basada en la evidencia sobre la genética del cáncer gástrico difuso hereditario. El objetivo es servir como fuente de información y ayuda para los profesionales clínicos durante la atención de pacientes. No ofrece pautas ni recomendaciones formales para tomar decisiones relacionadas con la atención sanitaria.
Revisores y actualizaciones
El
Cada mes, los integrantes de este consejo revisan los artículos publicados recientemente para determinar lo siguiente:
Los cambios en los resúmenes se deciden mediante consenso de los integrantes del consejo después de evaluar la solidez de la evidencia de los artículos publicados y determinar la forma de incorporar el artículo en el resumen.
Los revisores principales del sumario sobre Cáncer gástrico difuso hereditario son:
Cualquier comentario o pregunta sobre el contenido de este resumen se debe enviar al
Niveles de evidencia
Algunas de las referencias bibliográficas de este resumen se acompañan del nivel de evidencia. El propósito de esto es ayudar al lector a evaluar la solidez de la evidencia que respalda el uso de ciertas intervenciones o abordajes. El
Permisos para el uso de este resumen
PDQ (Physician Data Query) es una marca registrada. Se autoriza el uso del texto de los documentos del PDQ; sin embargo, no se podrá identificar como un resumen de información sobre cáncer del PDQ del NCI, salvo que el resumen se reproduzca en su totalidad y se actualice de manera periódica. Por otra parte, se permitirá que un autor escriba una oración como "En el resumen del PDQ del NCI de información sobre la prevención del cáncer de mama se describen, de manera concisa, los siguientes riesgos: [incluir fragmento del resumen]".
Se sugiere citar la referencia bibliográfica de este resumen del PDQ de la siguiente forma:
PDQ® sobre la genética del cáncer. PDQ Cáncer gástrico difuso hereditario. Bethesda, MD: National Cancer Institute. Actualización: <MM/DD/YYYY>. Disponible en:
Las imágenes en este resumen se reproducen con autorización del autor, el artista o la editorial para uso exclusivo en los resúmenes del PDQ. La utilización de las imágenes fuera del PDQ requiere la autorización del propietario, que el Instituto Nacional del Cáncer no puede otorgar. Para obtener más información sobre el uso de las ilustraciones de este resumen o de otras imágenes relacionadas con el cáncer, consultar
Cláusula sobre el descargo de responsabilidad
La información en estos resúmenes no se debe utilizar para justificar decisiones sobre reembolsos de seguros. Para obtener más información sobre la cobertura de seguros, consultar la página
Comuníquese con el Instituto Nacional del Cáncer
Para obtener más información sobre las opciones para comunicarse con el NCI, incluso la dirección de correo electrónico, el número telefónico o el chat, consultar la página del
Última revisión: 2025-04-10
Esta información no reemplaza el consejo de un médico. Ignite Healthwise, LLC, niega toda garantía y responsabilidad por el uso de esta información. El uso que usted haga de esta información implica que usted acepta los
Healthwise, Healthwise para cada decisión de la salud, y el logo de Healthwise son marcas de fábrica de Ignite Healthwise, LLC.
Los planes individuales y familiares de seguro médico y dental están asegurados por Cigna Health and Life Insurance Company (CHLIC), Cigna HealthCare of Arizona, Inc., Cigna HealthCare of Illinois, Inc., Cigna HealthCare of Georgia, Inc., Cigna HealthCare of North Carolina, Inc., Cigna HealthCare of South Carolina, Inc. y Cigna HealthCare of Texas, Inc. Los planes de beneficios de salud y de seguro de salud de grupo están asegurados o administrados por CHLIC, Connecticut General Life Insurance Company (CGLIC) o sus afiliadas (puedes ver
Todas las pólizas de seguros y los planes de beneficios de grupo contienen exclusiones y limitaciones. Para conocer la disponibilidad, los costos y detalles completos de la cobertura, comunícate con un agente autorizado o con un representante de ventas de Cigna. Este sitio web no está dirigido a los residentes de New Mexico.