Ir al menú principal Ir al contenido principal Ir al pie de página Para Medicare Para Proveedores Para Agentes Para Empleadores English Para individuos y familias: Para individuos y familias Médica Dental Otros seguros complementarios Explorar cobertura a través de tu empleador Cómo comprar seguros de salud Tipos de seguro dental Período de Inscripción Abierta vs. Período Especial de Inscripción Ver todos los temas Comprar planes de seguros internacionales Guía para miembros Buscar un médico Ingresar a myCigna
Inicio Centro de información Biblioteca del bienestar Encefalitis

Encefalitis

Generalidades del tema

¿Qué es la encefalitis?

La encefalitis es una inflamación del cerebro. Esta inflamación puede causar síntomas como confusión, fiebre, dolor de cabeza intenso y cuello rígido. A veces provoca síntomas como convulsiones y cambios de personalidad. También puede causar problemas a largo plazo, como problemas del habla o de la memoria.

La encefalitis es poco común, pero puede ser mortal. Si cree que tiene síntomas de encefalitis, vea a un médico de inmediato.

¿Qué causa la encefalitis?

La infección por un virus es la causa principal de la encefalitis. Diferentes tipos de virus pueden causar la enfermedad. Por ejemplo, el virus del Nilo Occidental puede causar encefalitis cuando un mosquito infectado pica a una persona. Otro tipo es el virus del herpes simple, que es el mismo virus que causa el herpes labial y el herpes genital. Una madre que está infectada con el virus del herpes también puede transmitir el virus a su bebé. Si esto ocurre y el bebé contrae encefalitis, es algo muy grave.

La encefalitis también puede ser provocada por bacterias o por un parásito, como el que causa la toxoplasmosis. En casos poco frecuentes, la encefalitis puede ser producida por un hongo.

Pero la mayoría de las personas que contraen este tipo de infecciones no van a tener encefalitis.

¿Cuáles son los síntomas?

Los síntomas de encefalitis pueden incluir:

  • Confusión.
  • Fiebre.
  • Dolor de cabeza (que puede ser muy intenso).
  • Rigidez en el cuello y la espalda.
  • Dolor en los ojos provocado por la luz.
  • Náuseas y vómito.
  • Falta de energía.
  • Somnolencia.

Los síntomas más graves incluyen:

  • Convulsiones.
  • Temblores.
  • Cambios de personalidad.
  • Pérdida de memoria.
  • Alucinaciones (ver u oír cosas que no existen).

Si piensa que usted o su hijo tienen encefalitis, llame a su médico inmediatamente.

Al principio, los síntomas de la encefalitis pueden ser como los de la meningitis. Esta es una enfermedad bacteriana o viral grave que causa la hinchazón de los tejidos alrededor del cerebro y la médula espinal.

¿Cómo se diagnostica la encefalitis?

Su médico le hará preguntas sobre sus antecedentes de salud y sus síntomas. Probablemente solicite exámenes para confirmar el diagnóstico. Estos pueden incluir:

Análisis del líquido cefalorraquídeo. Al hacer una punción lumbar (también llamada punción espinal), su médico puede revisar el líquido cefalorraquídeo para detectar un aumento en los glóbulos blancos y proteínas. Las bacterias, el virus, el parásito o el hongo que causan la encefalitis también pueden encontrarse en el líquido cefalorraquídeo.

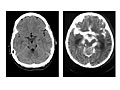
Exámenes de diagnóstico por imágenes. Un examen de imágenes por resonancia magnética (MRI, por sus siglas en inglés) o una tomografía computarizada (CT, por sus siglas en inglés), las cuales toman imágenes del interior del cuerpo, puede mostrar sangrado, hinchazón u otros cambios en el cerebro. Vea una imagen de un cerebro con encefalitis.

Electroencefalograma (EEG). Esta prueba puede medir las señales eléctricas del cerebro. Puede mostrar un cambio relacionado con la enfermedad.

Análisis de sangre. Estos análisis pueden mostrar qué tipo de virus está causando la encefalitis.

¿Cómo se trata?

Si usted tiene encefalitis, es necesario que reciba tratamiento en un hospital. Su tratamiento dependerá de sus síntomas y de la causa de su enfermedad. Es posible que lo traten de inmediato con un medicamento antiviral, como aciclovir. Los medicamentos antivirales pueden hacer que los síntomas sean menos graves, especialmente si usted consigue el medicamento de inmediato. Si el médico piensa que sus síntomas son causados ​​por bacterias, en lugar de por un virus, puede tratarlo con antibióticos.

También recibirá atención para aliviar sus síntomas y permitir que el cuerpo sane por sí solo. Esto se llama atención de apoyo. Puede tomar medicamentos para reducir el dolor y la fiebre o para detener las convulsiones. En algunos casos, podría necesitar una máquina llamada respirador para ayudarle a respirar.

Después de que esté fuera del hospital, puede tardar varias semanas, meses o aún más tiempo para recuperarse por completo de sus síntomas. Puede cuidarse a sí mismo alimentándose bien y descansando lo suficiente. Siga las instrucciones de su médico sobre cuánto líquido tiene que tomar. Si su médico lo aprueba, puede tomar analgésicos (medicamentos para el dolor) de venta libre para los dolores de cabeza. Estos incluyen el acetaminofén y los medicamentos antiinflamatorios no esteroideos (AINE) como el naproxeno, el ibuprofeno o la aspirina. No le dé aspirina a nadie menor de 20 años de edad debido al riesgo de síndrome de Reye. Sea prudente con los medicamentos. Lea y siga todas las instrucciones de la etiqueta.

Algunas personas tienen problemas a largo plazo. Si usted tiene debilidad muscular o problemas de coordinación, puede necesitar fisioterapia. Si usted tiene pérdida del habla o la memoria, es posible que necesite terapia del habla o terapia ocupacional.

¿Puede prevenirse la encefalitis?

Sus probabilidades de llegar a tener encefalitis son bajas. Pero hay cosas que usted puede hacer para reducir las probabilidades aún más.

  • Asegúrese de que usted y sus hijos reciban las inyecciones (vacunas) contra el sarampión, las paperas, la rubéola, la varicela y la gripe.
  • Evite estar en lugares donde haya habido un brote de encefalitis viral. Si no puede evitar estos lugares, evite las picaduras de mosquito con estos consejos:
    • Permanezca en un lugar cerrado al amanecer, al atardecer y en las primeras horas de la noche, cuando los mosquitos están más activos.
    • Use camisas de manga larga y pantalones largos cuando esté al aire libre y donde es probable que haya mosquitos.
    • Evite usar fragancias florales de perfumes, jabones, productos para el cuidado del cabello y lociones. Estos pueden atraer a los mosquitos.
    • Use un repelente de insectos con DEET (N,N-dietil-meta-toluamida). El repelente está disponible en varias concentraciones hasta 100%. La Academia Americana de Pediatría (American Academy of Pediatrics) y otros expertos sugieren que es seguro utilizar un repelente que contenga entre el 10% y el 30% de DEET en niños mayores de 2 meses de edad.
    • Rocíe la ropa con un repelente de insectos que contenga permetrina o DEET, ya que los mosquitos pueden picarlo a través de telas no muy gruesas. El DEET puede dañar artículos de plástico, como cristales de relojes o marcos de anteojos, y algunas telas sintéticas. También puede usar productos naturales, como Bite Blocker a base de semillas de soya.
    • Evite aplicar repelente en las manos de los niños. Los repelentes pueden irritar los ojos y la boca.
    • Siempre que use un insecticida o un repelente de insectos, asegúrese de leer y seguir las instrucciones de uso.
    • No mantenga contenedores de agua abiertos cerca de su hogar. El agua estancada es un lugar de reproducción para los mosquitos.
  • Si usted hace un viaje largo al Lejano Oriente o a Europa Central u Oriental, hable con su médico para vacunarse contra ciertos tipos de encefalitis transmitida por mosquitos o garrapatas. Por ejemplo, existe una vacuna para la encefalitis japonesa. Vacunarse es especialmente importante si usted va a una zona rural.

Revisado: 30 septiembre, 2025

Autor: El personal de Ignite Healthwise, LLC

Comité de revisión clínica
Todo el material educativo de Ignite Healthwise, LLC es revisada por un equipo que incluye médicos, enfermeras, profesionales sanitarios avanzados, dietistas registrados y otros profesionales de atención médica.

Esta información no reemplaza el consejo de un médico. Ignite Healthwise, LLC, niega toda garantía y responsabilidad por el uso de esta información. El uso que usted haga de esta información implica que usted acepta los Términos de Uso. Aprenda cómo desarrollamos nuestro contenido.

© 2024-2025 Ignite Healthwise, LLC.

Enlaces relacionados

Dolores de cabeza Culebrilla Herpes labial Herpes genital Meningitis Varicela Salud al viajar Virus del Nilo Occidental Mononucleosis

<cipublic-spinner variant="large"><span>Loading…</span></cipublic-spinner>

Page Footer

Quiero...

Obtener una tarjeta ID Presentar un reclamo Ver mis reclamos y EOB Verificar la cobertura de mi plan Ver la lista de medicamentos con receta Buscar un médico, dentista o centro dentro de la red Buscar un formulario Buscar información del formulario de impuestos 1095-B Ver el Glosario de Cigna Comunicarme con Cigna

Audiencia

Individuos y familias Empleadores Agentes Proveedores

Sitios seguros para miembros

Portal myCigna para miembros Portal para proveedores de cuidado de la salud Cigna para empleadores Portal de recursos para clientes Cigna para agentes

Información sobre The Cigna Group

Acerca de Cigna Healthcare Perfil de la compañía Empleos Sala de prensa Inversionistas Distribuidores The Cigna Group Administradores externos Internacional Evernorth

 Cigna. Todos los derechos reservados.

Privacidad Asuntos legales Divulgaciones sobre productos Nombres de la compañía Cigna Derechos de los clientes Accesibilidad Aviso sobre no discriminación Asistencia idiomática [PDF] Reportar fraude Mapa del sitio Configuración de cookies

Aviso legal

Los planes individuales y familiares de seguro médico y dental están asegurados por Cigna Health and Life Insurance Company (CHLIC), Cigna HealthCare of Arizona, Inc., Cigna HealthCare of Illinois, Inc., Cigna HealthCare of Georgia, Inc., Cigna HealthCare of North Carolina, Inc., Cigna HealthCare of South Carolina, Inc. y Cigna HealthCare of Texas, Inc. Los planes de beneficios de salud y de seguro de salud de grupo están asegurados o administrados por CHLIC, Connecticut General Life Insurance Company (CGLIC) o sus afiliadas (puedes ver un listado de las entidades legales que aseguran o administran HMO para grupos, HMO dentales y otros productos o servicios en tu estado). Los planes o pólizas de seguro para lesiones accidentales, enfermedades críticas y cuidado hospitalario son distribuidos exclusivamente por o a través de subsidiarias operativas de Cigna Corporation, son administrados por Cigna Health and Life Insurance Company y están asegurados por (i) Cigna Health and Life Insurance Company (Bloomfield, CT), (ii) Life Insurance Company of North America (“LINA”) (Philadelphia, PA) o (iii) New York Life Group Insurance Company of NY (“NYLGICNY”) (New York, NY), anteriormente llamada Cigna Life Insurance Company of New York. El nombre Cigna, el logotipo y otras marcas de Cigna son propiedad de Cigna Intellectual Property, Inc. LINA y NYLGICNY no son afiliadas de Cigna.

Todas las pólizas de seguros y los planes de beneficios de grupo contienen exclusiones y limitaciones. Para conocer la disponibilidad, los costos y detalles completos de la cobertura, comunícate con un agente autorizado o con un representante de ventas de Cigna. Este sitio web no está dirigido a los residentes de New Mexico.

Al seleccionar estos enlaces saldrás de Cigna.com hacia otro sitio web que podría no ser un sitio web de Cigna. Cigna no puede controlar el contenido ni los enlaces de sitios web que no son de Cigna. Detalles