Ir al menú principal Ir al contenido principal Ir al pie de página Para Medicare Para Proveedores Para Agentes Para Empleadores English Para individuos y familias: Para individuos y familias Médica Dental Otros seguros complementarios Explorar cobertura a través de tu empleador Cómo comprar seguros de salud Tipos de seguro dental Período de Inscripción Abierta vs. Período Especial de Inscripción Ver todos los temas Comprar planes de seguros internacionales Guía para miembros Buscar un médico Ingresar a myCigna
Inicio Centro de información Biblioteca del bienestar Epilepsia

Epilepsia

Generalidades de la afección

¿Qué es la epilepsia?

La epilepsia es una afección común que causa crisis epilépticas (convulsiones) repetidas. Las crisis son causadas por estallidos anormales de actividad eléctrica en el cerebro. Las crisis pueden causar problemas de control muscular, movimiento, habla, visión o estado de conciencia. No suelen durar mucho tiempo, pero pueden ser alarmantes. Lo bueno es que el tratamiento generalmente funciona para controlar y reducir las crisis.

La epilepsia no es un tipo de enfermedad mental o discapacidad intelectual. No suele afectar la capacidad para razonar o aprender. Usted no puede contraer la epilepsia de otras personas (como un resfriado), y ellas no la pueden contraer de usted.

¿Cuál es la causa de la epilepsia?

Con frecuencia, los médicos desconocen la causa de la epilepsia. Menos de la mitad de las personas que tienen epilepsia saben por qué la tienen.

En ocasiones, otro problema, como una lesión en la cabeza, un tumor cerebral, una infección cerebral o un ataque cerebral, causa la epilepsia.

¿Cuáles son los síntomas?

Las crisis repetidas que ocurren sin aviso son el principal síntoma de la epilepsia. Sin tratamiento, las crisis pueden continuar y volverse peores y más frecuentes con el tiempo.

Hay diferentes tipos de crisis epilépticas. Es posible que usted solo tenga un tipo de crisis epiléptica. Algunas personas tienen más de un tipo. Dependiendo del tipo de crisis epiléptica que usted tenga, es posible que:

  • Sus sentidos no funcionen bien. Por ejemplo, podría notar olores o sonidos extraños.
  • Pierda el control muscular.
  • Se caiga y su cuerpo tenga espasmos o sacudidas.
  • Se quede con la mirada fija en el espacio.
  • Se desmaye (pierda el conocimiento).

No todas las personas que sufren convulsiones tienen epilepsia. A veces, las crisis ocurren como resultado de una lesión, una enfermedad u otro problema. En estos casos, las crisis se detienen cuando ese problema mejora o desaparece.

¿Cómo se diagnostica la epilepsia?

Puede ser difícil diagnosticar la epilepsia. Si cree que usted o su hijo ha tenido una crisis, su médico primero intentará averiguar si se trató de una crisis epiléptica o de algo diferente con síntomas similares. Por ejemplo, un tic muscular o una migraña (jaqueca) pueden verse o sentirse como un tipo de crisis epiléptica.

Su médico le hará muchas preguntas para determinar lo que le ocurrió a usted justo antes, durante y después de una crisis. Además, su médico lo examinará y le hará algunas pruebas, como un electroencefalograma. Esta información puede ayudar a su médico a determinar el tipo de crisis que usted tiene y si tiene epilepsia.

¿Cómo se trata?

Los medicamentos controlan las crisis en muchas personas que tienen epilepsia. Puede tomar tiempo y cambios cuidadosos y controlados que usted y su médico hagan hasta encontrar la combinación, el horario y la dosis de medicamentos adecuados para tratar su epilepsia de la mejor manera posible. El objetivo es prevenir las crisis y causar la menor cantidad posible de efectos secundarios. Una vez que usted encuentre el medicamento que le funcione, tómelo exactamente según las indicaciones. La mejor manera de evitar tener más crisis es mantener la cantidad adecuada de medicamento dentro de su organismo. Para conseguirlo, usted necesita tomar la dosis correcta del medicamento en los momentos correctos todos los días.

Si el medicamento por sí solo no controla sus crisis, es posible que su médico pruebe uno o más de estos otros tratamientos. Incluyen:

  • Cirugía para eliminar el tejido cerebral dañado o la zona de tejido cerebral en la que comienzan las crisis.
  • Una dieta especial llamada dieta cetógena. Con esta dieta, usted come muchas más grasas y menos carbohidratos. Esta dieta reduce las crisis en algunos niños que tienen epilepsia.
  • Un dispositivo llamado estimulador del nervio vago. El médico implanta el dispositivo debajo de la piel cerca de la clavícula. El dispositivo envía señales débiles al nervio vago en el cuello y al cerebro para ayudar a controlar las crisis.
  • Un dispositivo llamado sistema de neuroestimulación sensible. Su médico implanta el dispositivo dentro del cráneo. Detecta cuando puede estar empezando una crisis y envía una señal débil para evitarla.

¿Cómo afectará su vida la epilepsia?

La epilepsia afecta a cada persona de manera diferente. Algunas personas tienen solo unas pocas crisis. Otras personas las tienen con mayor frecuencia. Por lo general, las crisis son inocuas. Sin embargo, dependiendo de dónde se encuentre y de lo que esté haciendo cuando tenga una crisis epiléptica, usted podría lesionarse. Hable con su médico acerca de si conducir o nadar es seguro para usted.

Si sabe qué es lo que desencadena sus crisis epilépticas, tal vez pueda evitar tenerlas. Dormir con regularidad y evitar el estrés pueden ayudar. Si el tratamiento controla sus crisis epilépticas, usted tiene una buena probabilidad de vivir y trabajar como cualquier otra persona.

Sin embargo, las crisis pueden ocurrir incluso cuando usted hace todo lo que se supone que tiene que hacer. Si continúa teniendo crisis epilépticas, hay ayuda disponible. Pregúntele a su médico acerca de los servicios que existen en su área.

Es normal que los padres se preocupen de lo que puede ocurrirle a su hijo si tiene una crisis epiléptica. Pero también es importante permitir que su hijo viva, juegue y aprenda como otros niños. Hable con los maestros y los cuidadores de su hijo. Enséñeles qué hacer en caso de que su hijo tenga una crisis epiléptica.

Hay muchas maneras de reducir el riesgo de que su hijo se lesione y aún permitir que viva lo más normal posible. Por ejemplo, aprenda acerca de la seguridad en el agua para niños que tienen crisis epilépticas.

Herramientas de salud

Herramientas de salud

Las Herramientas de salud le permiten tomar decisiones acertadas sobre salud o tomar medidas para mejorar su salud.

Las Medidas prácticas le ayudan a la gente a participar activamente en la gestión de una condición de salud.
Causa

Causa

La epilepsia puede presentarse incluso si usted no tiene ningún factor de riesgo (cosas que aumentan su riesgo). No siempre puede determinarse la causa. Esto es especialmente cierto para muchas formas de epilepsia infantil. Para algunas personas, la epilepsia es el resultado de un tumor, una infección o daño cerebral.

Las probabilidades de tener epilepsia son mayores en niños y adultos mayores, pero puede comenzar a cualquier edad. Es posible que la epilepsia sea hereditaria. Pero usted no tiene que tener antecedentes familiares para llegar a tener epilepsia.

Las crisis epilépticas ocurren cuando estallidos eléctricos anormales en el cerebro interrumpen brevemente el funcionamiento normal del cerebro. No siempre está claro qué es lo que desencadena los estallidos de actividad eléctrica anormal.

Entre las afecciones que pueden causar crisis epilépticas se incluyen:

  • Lesión en la cabeza.
  • Ataque cerebral o enfermedades que afectan los vasos sanguíneos (sistema vascular) del cerebro.
  • Endurecimiento de las arterias (aterosclerosis) del cerebro.
  • Tumor cerebral.
  • Infección cerebral, como meningitis o encefalitis.
  • Enfermedad de Alzheimer.
  • Uso indebido o síndrome de abstinencia del alcohol o las drogas.

Los tumores, el tejido cicatricial debido a una lesión o enfermedad, o el desarrollo anormal del cerebro pueden dañar una determinada zona del cerebro y causar crisis parciales. Sin embargo, es posible que usted no tenga ninguna de estas afecciones y aún llegue a tener epilepsia.

Síntomas

Síntomas

Las crisis son el único síntoma visible de la epilepsia. Hay diferentes tipos de crisis y los síntomas de cada tipo pueden afectar a las personas de maneras diferentes. Las crisis suelen durar desde algunos segundos hasta algunos minutos. Tal vez esté alerta durante la crisis epiléptica o quizás pierda el conocimiento. Es posible que no recuerde lo que ocurrió durante la crisis epiléptica o que ni siquiera se haya dado cuenta de que tuvo una crisis.

Las crisis epilépticas que lo hacen caer al suelo o que hacen que los músculos se pongan rígidos o se sacudan sin control son fáciles de reconocer. Pero muchas crisis epilépticas no implican estas reacciones y pueden ser más difíciles de reconocer. Algunas crisis epilépticas hacen que se quede con la mirada fija en el espacio por unos segundos. Otras pueden consistir solo en un par de espasmos musculares, un giro de la cabeza o un olor extraño o una alteración visual que únicamente usted nota.

Las crisis epilépticas con frecuencia ocurren sin aviso, aunque algunas personas pueden tener un aura al principio de una crisis. Las crisis acaban cuando la actividad eléctrica anormal del cerebro se detiene y la actividad cerebral vuelve a su normalidad. Las crisis epilépticas pueden ser parciales (focales) o generalizadas.

Crisis parciales

Las crisis parciales comienzan en una zona o un lugar específicos del cerebro. Los tipos más comunes de crisis parciales son:

  • Crisis parciales simples. Las crisis parciales simples no afectan el estado de alerta o de conciencia.
  • Crisis parciales complejas. Las crisis parciales complejas sí que afectan el nivel de conciencia. Es posible que usted no responda a estímulos o que pierda el conocimiento completamente.
  • Crisis parciales con generalización secundaria. Las crisis parciales con generalización secundaria comienzan como crisis parciales simples o complejas pero luego se extienden (se generalizan) al resto del cerebro y se parecen a las crisis tónico-clónicas generalizadas. Es fácil confundir estos dos tipos, pero el tratamiento es diferente. La mayoría de las crisis tónico-clónicas en adultos comienzan como crisis parciales y son causadas por epilepsia parcial. Las crisis tónico-clónicas generalizadas son más comunes en niños.

Crisis generalizadas

Las crisis que comienzan por toda la superficie del cerebro se llaman crisis generalizadas. Los tipos principales de crisis generalizadas son:

  • Crisis tónico-clónicas generalizadas (gran mal), durante las cuales la persona cae al suelo, el cuerpo entero se pone rígido y los músculos de la persona comienzan a sacudirse o a sufrir espasmos (convulsiones).
  • Crisis de ausencia (pequeño mal), que hacen que una persona se quede con la mirada fija en el espacio por unos segundos y después "se despierte" sin saber que algo ha ocurrido.
  • Crisis mioclónicas, que hacen que el cuerpo se sacuda como si lo estuviesen electrocutando.
  • Crisis atónicas, en las que una pérdida repentina de tono muscular hace que la persona se caiga sin aviso previo.
  • Crisis tónicas, en las que los músculos se contraen y se tensan repentinamente, frecuentemente haciendo que la persona se caiga.

Las personas pueden referirse a las crisis epilépticas como convulsiones, ataques o episodios. Sin embargo, crisis epiléptica es el término correcto. Las convulsiones, durante las cuales los músculos tienen espasmos o sacudidas, son solo una de las características de las crisis. Algunas crisis causan convulsiones, pero muchas no lo hacen.

Las crisis epilépticas a veces se confunden con las convulsiones psicógenas, las cuales no se deben a un funcionamiento eléctrico anormal. Una convulsión psicógena puede ser una respuesta psicológica al estrés, a una lesión, a un trauma emocional o a otros factores.

Tipos de epilepsia

Existen muchos tipos de epilepsia. Todos los tipos pueden causar crisis. Puede ser difícil determinar el tipo de epilepsia que usted tiene debido a las numerosas causas posibles, debido a que diferentes tipos de crisis pueden ocurrir en la misma persona y debido a que los tipos de epilepsia pueden afectar a cada persona de modo diferente.

Algunos tipos específicos de epilepsia son:

  • Epilepsia focal benigna infantil, la cual hace que los músculos de todo el cuerpo se tensen y se sacudan. Esto suele ocurrir por la noche.
  • Epilepsia de ausencia infantil y juvenil, que causa mirada fija en el espacio, parpadeo de ojos y ligeros espasmos musculares.
  • Espasmos infantiles (síndrome de West), que provocan espasmos musculares que afectan la cabeza, el torso y las extremidades de un niño. Los espasmos infantiles suelen comenzar antes de los 6 meses de edad.
  • Epilepsia mioclónica juvenil, que causa sacudidas en los hombros o en los brazos.
  • Síndrome de Lennox-Gastaut, que causa diferentes tipos de crisis frecuentes. Este síndrome puede provocar caídas durante una crisis, lo cual puede causar lesiones.
  • Epilepsia del lóbulo temporal (el tipo más común de epilepsia en adultos), que provoca que alguien haga ruidos con los labios o se frote las manos, trastornos emocionales o del pensamiento así como alucinaciones respecto a sonidos, olores o sabores.

La epilepsia no es un tipo de discapacidad intelectual o enfermedad mental. Aunque algunos tipos de epilepsia infantil están asociados con una inteligencia por debajo de lo normal y problemas del desarrollo físico y mental, la epilepsia no causa estos problemas. Las crisis pueden parecer alarmantes o extrañas, pero no hacen que una persona esté loca ni sea violenta o peligrosa.

No todas las personas que tienen crisis tienen epilepsia. Las crisis que no son epilépticas pueden ser el resultado de varias afecciones médicas, como intoxicación, fiebre, desmayo o abstinencia del alcohol o las drogas. Las crisis que se presentan durante una enfermedad o una lesión y se detienen cuando la afección mejora no están relacionadas con la epilepsia. Pero si las crisis ocurren en ocasiones repetidas (se vuelven crónicas) y suceden semanas, meses o incluso años después de la lesión o la enfermedad, la epilepsia se ha desarrollado como resultado de la afección.

Existen varias otras afecciones con síntomas similares, como los desmayos o las convulsiones causadas por fiebre alta.

Qué sucede

Qué sucede

Aunque la epilepsia es uno de los trastornos neurológicos más comunes que involucran el sistema nervioso, con frecuencia los expertos no pueden explicar exactamente cómo ni por qué se desarrolla la enfermedad ni cómo ni por qué ocurre la actividad eléctrica anormal en el cerebro. La epilepsia no siempre sigue un curso predecible. Puede presentarse a cualquier edad y puede empeorar o mejorar con el tiempo.

Aunque es poco común, la epilepsia que comienza en una zona específica del cerebro puede, en un momento dado, afectar otra parte del cerebro. Algunos tipos de epilepsia infantil desaparecen una vez que el niño alcanza la adolescencia. Otros tipos pueden continuar de por vida. La epilepsia que comenzó después de una lesión en la cabeza puede desaparecer al cabo de varios años o puede durar el resto de su vida.

La epilepsia no tiene cura. Pero el tratamiento puede controlar las crisis epilépticas, evitando a veces que se vuelvan a producir.

Calidad de vida

La epilepsia y las crisis epilépticas no controladas pueden limitar su independencia, autoestima y calidad de vida. Es posible que, al tener epilepsia, usted tenga dificultades para conseguir o mantener una licencia de conducir. Si usted queda embarazada, pueden presentarse complicaciones. Sus opciones profesionales pueden ser limitadas. Algunas personas que tienen epilepsia enfrentan discriminación en el trabajo o en la escuela debido a los temores y prejuicios de otras personas acerca de esta afección.

Lo bueno es que el tratamiento adecuado puede permitirle controlar las crisis, lo cual puede resultar en una mejor calidad de vida y permitirle afrontar mejor el trastorno.

Enterarse de que tiene epilepsia puede ser duro. Es posible que no pueda hacer algunas de las cosas que solía dar por sentadas (como conducir un automóvil). Además, la epilepsia es una enfermedad que puede ser difícil de tratar en algunas personas, especialmente al principio. Tal vez tenga que probar muchos tipos diferentes de medicamentos antes de encontrar uno que funcione perfectamente. Todas estas cosas pueden hacer que se sienta triste o enojado. Puede resultarle útil hablar con un psicólogo o un consejero si se siente mal acerca de tener epilepsia.

Preocupaciones de salud mental o inteligencia

La epilepsia no causa y no es una forma de enfermedad mental. Y, por lo general, no afecta su capacidad para pensar y aprender. La mayoría de las personas con epilepsia tienen una inteligencia normal. Los niños con epilepsia podrían tener dificultades para rendir bien en la escuela, pero esto no suele ser el resultado de una inteligencia por debajo de lo normal. Las crisis de ausencia frecuentes, por ejemplo, pueden ser una explicación de por qué un niño parece "estar en las nubes" o no prestar atención en clase. Algunos medicamentos que se usan para controlar las crisis epilépticas pueden afectar la capacidad de un niño para concentrarse en la escuela.

Algunos síndromes epilépticos infantiles poco comunes son excepciones en el sentido de que normalmente se asocian con inteligencia reducida, retraso en el desarrollo físico y mental así como otros problemas. Estos incluyen los espasmos infantiles (síndrome de West), el síndrome de Lennox-Gastaut y el síndrome de Rasmussen, entre otros. Ciertas pruebas, como las pruebas neuropsicológicas, pueden ayudar a su médico a determinar si un problema cerebral afecta la capacidad de su hijo para razonar, concentrarse, solucionar problemas o recordar cosas.

Debido a que la epilepsia frecuentemente es una enfermedad de por vida (crónica), puede ser difícil comprender cuánto va a cambiar su vida. Algunas personas pueden tener sentimientos de desesperación, depresión o ansiedad después de enterarse de que tienen epilepsia. Algunos estudios indicaron que los adultos con epilepsia tienen un mayor riesgo de suicidio, en particular si se les ha diagnosticado también depresión u otra enfermedad mental, y especialmente dentro de los 6 meses de haber recibido el diagnóstico de epilepsia.nota 1Para obtener más información sobre la depresión, vea el tema Depresión.

Si usted u otro amigo o familiar adulto acaba de recibir un diagnóstico de epilepsia o si acaba de comenzar un nuevo tratamiento para la epilepsia, preste atención a pensamientos o amenazas suicidas. Para obtener más información acerca de aquello a lo que debe prestar atención, vea el tema Pensamientos o amenazas suicidas.

Complicaciones de las crisis epilépticas

Las crisis epilépticas por sí mismas no suelen causar daño; el peligro está en dónde se encuentre usted o en qué esté haciendo cuando ocurra la crisis. Siempre existe el riesgo de una lesión en la cabeza, roturas de huesos y otras lesiones causadas por una caída o por ahogamiento si usted está nadando o bañándose en el momento en que ocurra la crisis. Puede ser peligroso encontrarse operando maquinaria o conduciendo cuando ocurre una crisis epiléptica. Usted no puede tragarse la lengua durante una crisis epiléptica. Pero puede atragantarse con comida, vómito o un objeto en la boca.

Algunas crisis epilépticas pueden provocar una sobrecarga temporal pero grave en el organismo y causar problemas musculares, pulmonares o cardíacos. El atragantamiento o un latido cardíaco anormal pueden causar la muerte repentina, aunque esto es poco común. Las crisis epilépticas sin tratar que se vuelven más graves o frecuentes pueden dar lugar a estos problemas.

Las complicaciones más graves de la epilepsia son poco comunes, pero pueden incluir:

  • Estado epiléptico. Este es un estado de crisis persistente que puede producir daño cerebral o la muerte.
  • Muerte súbita e inesperada en la epilepsia (SUDEP, por sus siglas en inglés). Existe un pequeño riesgo de muerte súbita e inesperada para las personas con epilepsia. Este riesgo puede ser mayor en personas que tienen convulsiones tónico-clónicas frecuentes o convulsiones no controladas.
Qué aumenta el riesgo

Qué aumenta el riesgo

El riesgo de epilepsia aumenta si usted tiene:

  • Antecedentes familiares de epilepsia.
  • Una lesión en la cabeza (por ejemplo, una herida penetrante o una fractura de cráneo) con amnesia o pérdida de conocimiento por más de 24 horas. Cuanto más grave sea la lesión, mayor será el riesgo.
  • Un ataque cerebral o enfermedades que afectan los vasos sanguíneos (sistema vascular) del cerebro.
  • Un tumor cerebral.
  • Una infección cerebral, como encefalitis o meningitis.
  • Intoxicación con plomo.
  • Problemas de desarrollo cerebral que ocurrieron antes de nacer.
  • Abuso de sustancias.
  • Convulsiones por fiebre que duran mucho tiempo (conocidas también como convulsiones febriles).
  • Enfermedad de Alzheimer.

La epilepsia puede presentarse incluso si usted no tiene ningún factor de riesgo. Esto es especialmente cierto para muchas formas de epilepsia infantil.

Cuándo pedir ayuda

Cuándo pedir ayuda

Las convulsiones no siempre requieren atención de urgencia. Pero llame al 911 o a otros servicios de emergencia de inmediato si:

  • La persona que está teniendo convulsiones deja de respirar por más de 30 segundos. Después de llamar al 911 o a otros servicios de emergencia, inicie la respiración de rescate. Para obtener más información, vea el tema Manejo de emergencias.
  • Las convulsiones duran más de 3 minutos. (La persona puede encontrarse en un estado de crisis prolongada potencialmente mortal conocido como estado epiléptico).
  • Ocurre más de un episodio de convulsiones en un período de 24 horas.
  • La persona que está teniendo convulsiones no responde con normalidad dentro de 1 hora de sufrir las convulsiones o tiene cualquiera de los siguientes síntomas:
    • Reducción del estado de conciencia o vigilia, o no estar completamente despierta
    • Confusión
    • Náuseas o vómito
    • Mareos
    • Incapacidad para caminar o permanecer de pie
    • Fiebre
  • Las convulsiones se presentan después de que la persona se haya quejado de tener un dolor de cabeza grave y repentino.
  • Las convulsiones ocurren acompañadas de señales de ataque cerebral, como dificultades para hablar o comprender el habla, pérdida de visión o incapacidad para mover parte o la totalidad de un lado del cuerpo.
  • Las convulsiones se presentan después de una lesión en la cabeza.
  • Una mujer embarazada o una mujer que ha dado a luz a un bebé recientemente tiene convulsiones. Esto puede ser señal de preeclampsia (toxemia del embarazo).
  • Una persona diabética tiene convulsiones. El azúcar bajo en la sangre (hipoglucemia) o el azúcar muy alto en la sangre (hiperglucemia) puede causar convulsiones en una persona que tiene diabetes.
  • Las convulsiones ocurren después de ingerir una sustancia tóxica o de respirar gases.

Si usted tiene convulsiones por primera vez o si observa que alguien está teniendo convulsiones, llame a un médico de inmediato. Para obtener más información, vea el tema Convulsiones.

Si le han diagnosticado epilepsia, llame a su médico si:

  • Sus crisis se vuelven más frecuentes o más graves.
  • Una enfermedad grave parece estar cambiando el patrón normal, la frecuencia, la duración u otras características de sus crisis.
  • El patrón normal o las características de sus crisis cambian. Por ejemplo, usted nunca antes había perdido el conocimiento durante una crisis, pero lo hace ahora. O nunca antes se había caído durante una crisis, pero esto ocurre ahora.
  • Está tomando medicamentos antiepilépticos y los efectos secundarios parecen ser más graves de lo que se esperaba. Cuando comience a tomar un medicamento, hable con su médico acerca de los efectos secundarios que puede esperar y acerca de qué problemas podrían indicar que sus niveles de medicación son demasiado altos (toxicidad farmacológica). Es posible que empiece a sufrir crisis con mayor frecuencia si sus niveles de medicación son demasiado bajos.
  • Está embarazada o planea quedar embarazada.

Espera vigilante

La espera vigilante es apropiada si ya le han diagnosticado epilepsia y tiene una crisis epiléptica. Pero llame a su médico de inmediato si tiene una segunda crisis epiléptica en un período corto de tiempo o si sus crisis se han vuelto más graves o más frecuentes. Es posible que su médico necesite cambiar la cantidad de medicamento que usted toma o que necesite probar un medicamento diferente.

Si conoce a alguien que tiene epilepsia, aprenda qué hacer cuando la persona tiene una crisis.

A quién consultar

Si usted o su hijo tienen una crisis por primera vez, contacte a su médico o al médico de su hijo para hablar sobre el suceso y su posible causa. Su médico podría remitirle a un neurólogo. Es posible que su médico habitual pueda supervisar su tratamiento para la epilepsia una vez que sus crisis estén bajo control.

Las personas con epilepsia que tienen dificultades para controlar sus crisis epilépticas y necesitan cuidados especiales, pruebas o cirugía pueden conseguir ayuda en centros para la epilepsia. El personal de los centros para la epilepsia incluye médicos y otros profesionales de la salud capacitados para tratar a personas con este trastorno.

Exámenes y pruebas

Exámenes y pruebas

Establecer el diagnóstico correcto es vital para identificar el tratamiento apropiado para controlar las crisis.

Puede ser muy difícil diagnosticar la epilepsia. Cuando consulte a un médico después de que usted o su hijo hayan tenido crisis inexplicables, usted y el médico colaborarán para contestar tres preguntas:

  • ¿Fue lo que ocurrió una crisis epiléptica o fue algo que pareció ser una crisis? Varias afecciones pueden parecer crisis epilépticas pero en realidad no lo son. (Estas pueden incluir espasmos de llanto, migrañas, espasmos musculares o tics, trastornos del sueño, o convulsiones psicógenas). Tomar medicamentos antiepilépticos para tratar las crisis no epilépticas puede exponerlos a usted o a su hijo a riesgos innecesarios.
  • Si está sufriendo crisis, ¿están causadas por la epilepsia? No todas las personas que sufren crisis tienen epilepsia. Las crisis pueden haber sido causadas por otra cosa (como fiebre, determinados medicamentos, desequilibrio de electrolitos o inhalación de gases). Tomar medicamentos antiepilépticos cuando usted no tiene epilepsia puede exponerlo a un riesgo innecesario de efectos secundarios.
  • Si usted tiene o podría tener epilepsia, ¿qué tipos de crisis está teniendo? Los diferentes tipos de crisis epilépticas (parciales y generalizadas) no se tratan de la misma manera ni con los mismos medicamentos. Por ejemplo, algunos medicamentos que controlan las crisis parciales complejas pueden empeorar las crisis de ausencia.

Un examen físico y antecedentes médicos detallados con frecuencia proporcionan las mejores pistas sobre si usted tiene epilepsia y el tipo de epilepsia y de crisis epilépticas que tiene. Explicarle al médico lo que le ocurre a usted justo antes, durante e inmediatamente después de una crisis puede ayudarle a establecer un diagnóstico.

Es posible que su médico quiera excluir cualquier otra causa posible de las crisis realizando otras pruebas de laboratorio, que pueden incluir:

  • Un hemograma completo (CBC, por sus siglas en inglés) para verificar si hay una infección, y un análisis bioquímico de la sangre para detectar niveles anormales de electrolitos (tales como magnesio, sodio y calcio), señales de insuficiencia renal o hepática y otros problemas comunes.
  • Una punción lumbar, que es un análisis del líquido cefalorraquídeo que se evalúa para descartar infecciones como meningitis y encefalitis.
  • Una prueba de toxicología, que examina la sangre, la orina o el cabello para detectar sustancias tóxicas, drogas ilegales u otras toxinas.

Electroencefalograma (EEG)

La prueba más útil para corroborar un diagnóstico de epilepsia es un electroencefalograma (EEG). Una computadora registra la actividad eléctrica de su cerebro como un trazado de líneas onduladas. Si usted tiene epilepsia, el EEG podría mostrar picos u ondas anormales en el trazado de actividad eléctrica del cerebro. Los diferentes tipos de epilepsia dan lugar a trazados diferentes. Pero el EEG tiene limitaciones en cuanto a su capacidad para diagnosticar la epilepsia. Y muchas personas epilépticas tienen electroencefalogramas normales entre las crisis.

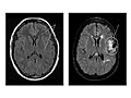
Pruebas de imágenes (MRI y CT)

Las imágenes por resonancia magnética (MRI, por sus siglas en inglés) y la tomografía computarizada (CT, por sus siglas en inglés) son pruebas por imágenes que le permiten al médico observar el cerebro y evaluar la causa y la ubicación de una posible fuente de epilepsia dentro del cerebro. Estas exploraciones pueden mostrar tejido cicatricial, tumores o problemas estructurales dentro del cerebro que pueden ser la causa de las crisis o de la epilepsia. La MRI es la prueba más útil en la mayoría de los casos. Es posible que no se hagan pruebas por imágenes después de la primera crisis, pero se recomiendan en muchas situaciones (como, por ejemplo, después de la primera crisis en adultos o después de una lesión en la cabeza).

Generalidades del tratamiento

Generalidades del tratamiento

El tratamiento puede reducir o prevenir las crisis en la mayoría de las personas que tienen epilepsia. Esto puede mejorar su calidad de vida. Tratar su epilepsia además reduce el riesgo de caídas y de otras complicaciones que pueden presentarse cuando usted tiene crisis.

En primer lugar, su médico determinará el tipo de epilepsia y el tipo de crisis epilépticas que usted tiene. Un tratamiento que controla un tipo de crisis podría no tener efecto en otros tipos. Su médico también tendrá en consideración su edad, estado de salud y estilo de vida al planificar su tratamiento.

Puede tomar tiempo hasta que usted y su médico encuentren la combinación, el horario y la dosis de medicamentos adecuados para tratar su epilepsia. El objetivo es prevenir las crisis y provocar la menor cantidad posible de efectos secundarios. Con la ayuda de su médico, usted puede evaluar los beneficios de un determinado tratamiento en comparación con sus desventajas, incluidos los efectos secundarios, los riesgos para la salud y el costo.

Una vez que usted y su médico encuentren el tratamiento que le funcione mejor a usted, asegúrese de seguirlo exactamente según las indicaciones.

Tratamiento inicial

El tratamiento inicial para la epilepsia depende de la gravedad, la frecuencia y el tipo de crisis que tenga y de si se ha determinado la causa de su afección. La medicación es la primera estrategia y la más común. Los medicamentos antiepilépticos no curan la epilepsia. Pero ayudan a prevenir las crisis en bastante más de la mitad de las personas que los toman.

  • Epilepsia: Cómo tomar sus medicamentos en forma adecuada

No siempre está claro si se debe comenzar el tratamiento después de una primera crisis epiléptica. Es difícil predecir si usted tendrá otras crisis. Los medicamentos antiepilépticos no suelen recetarse a menos que usted tenga factores de riesgo de tener otra crisis, como una lesión cerebral, resultados anormales en las pruebas o una crisis epiléptica que ocurrió durante la noche.

Tratamiento continuo

Si las crisis epilépticas continúan incluso a pesar de que está recibiendo tratamiento, se pueden probar medicamentos antiepilépticos adicionales o diferentes.

Además de los medicamentos, se pueden añadir otros tratamientos, como dietas especiales y cirugía, para ayudar a reducir la frecuencia y la gravedad de las crisis epilépticas.

La cirugía no se usa solo como un último recurso para tratar la epilepsia. Aunque la cirugía cerebral puede sonar aterradora, puede reducir con éxito las crisis que son dañinas, graves, frecuentes o que no responden a medicamentos. La cirugía puede mejorar en gran medida las vidas de algunas personas epilépticas que han sido cuidadosamente seleccionadas. Hable con su médico si desea saber si la cirugía es una buena opción para usted.

Para pensar

El tratamiento temprano puede reducir el riesgo de que las crisis epilépticas progresen hasta volverse más graves y frecuentes.

Usted tiene mayores probabilidades de tener crisis adicionales si ha tenido dos o más crisis epilépticas. En estos casos, los médicos suelen recomendar el tratamiento.

Prevención

Prevención

Dado que con frecuencia la causa de la epilepsia no está clara, por lo general no es posible prevenirla.

Las lesiones en la cabeza, una causa común de la epilepsia, pueden prevenirse. Lleve siempre puesto el cinturón de seguridad en el auto y un casco cuando monte en bicicleta o motocicleta y al esquiar, patinar o montar a caballo.

Tratamiento en el hogar

Tratamiento en el hogar

Controlar las crisis causadas por la epilepsia requiere un compromiso diario a seguir su plan de tratamiento. Si está tomando un medicamento antiepiléptico, tómelo tal como le ha sido recetado. No seguir el plan de tratamiento es una de las razones principales por las que los medicamentos no controlan las crisis.

Los medicamentos antiepilépticos solo funcionan si usted mantiene el nivel correcto de medicamento en su organismo. Su médico establecerá un horario de administración farmacológica para mantener los niveles adecuados de medicamento en su organismo. Saltarse una o más dosis puede desestabilizar por completo el sistema.

  • Epilepsia: Cómo tomar sus medicamentos en forma adecuada

La misma regla acerca de seguir el plan de tratamiento se aplica si usted o su hijo llevan una dieta cetógena especial. La dieta cetógena puede ser difícil de seguir, pero debe seguirse con exactitud.

A medida que siga su plan de tratamiento, trate también de identificar y evitar las cosas que puedan aumentar sus probabilidades de tener una crisis epiléptica, tales como:

  • No dormir lo suficiente.
  • Usar drogas o alcohol.
  • Estar emocionalmente estresado.
  • Saltarse comidas.

Si continúa teniendo crisis epilépticas a pesar del tratamiento, lleve un registro de cualquier crisis que tenga. Anote la fecha, la hora del día y cualquier otro detalle que pueda recordar acerca de la crisis. Su médico puede usar la información acerca de sus crisis para planificar o ajustar sus medicamentos u otros tratamientos. Si no le han diagnosticado epilepsia, un registro de sus crisis puede ayudar a su médico a determinar si usted podría tener epilepsia y qué tipo de crisis está teniendo.

Si su hijo o alguien más en su familia tiene epilepsia, aprenda qué hacer cuando alguien tiene una crisis.

Si usted tiene epilepsia (o si su hijo la tiene):

  • Asegúrese de que todos los médicos que lo estén tratando por cualquier afección sepan que usted tiene epilepsia y sepan qué medicamentos está tomando, si es que toma alguno.
  • Use un brazalete de identificación médica. En caso de que tenga una crisis o un accidente que lo deje inconsciente o incapaz de hablar, un brazalete de identificación médica permitirá que quienes le atiendan sepan que usted tiene epilepsia. También indica los medicamentos que toma para controlar sus crisis de manera que no se le administre ningún medicamento que reaccione de manera adversa con los que ya están en su organismo.

Si tiene un hijo con epilepsia, hay otros consejos para padres que pueden ser útiles.

Medicamentos

Medicamentos

Los medicamentos para prevenir las crisis epilépticas se llaman antiepilépticos. El objetivo es encontrar un medicamento antiepiléptico eficaz que cause los menores efectos secundarios.

Aunque muchas personas experimentan efectos secundarios, los medicamentos siguen siendo la mejor manera de prevenir las crisis epilépticas. Los beneficios del tratamiento con medicamentos suelen sobrepasar sus desventajas.

Existen muchos medicamentos antiepilépticos (llamados AED, por sus siglas en inglés, o anticonvulsivos). Pero no todos ellos tratan los mismos tipos de crisis epilépticas. El primer paso que su médico tomará al elegir un medicamento para tratar sus crisis epilépticas es identificar los tipos de crisis que usted tiene.

Puede tomar tiempo y cambios cuidadosos y controlados que usted y su médico hagan hasta encontrar la combinación, el horario y la dosis de medicamentos adecuados para tratar mejor su epilepsia. El objetivo es prevenir las crisis y causar la menor cantidad posible de efectos secundarios. Una vez que usted y su médico encuentren el programa de medicamentos que le funcione mejor a usted, asegúrese de seguirlo exactamente según las indicaciones.

Con frecuencia, es mejor usar un único medicamento antiepiléptico que usar más de uno. El medicamento único causa menos efectos secundarios y no conlleva el riesgo de interactuar con otros medicamentos. Las posibilidades de saltarse una dosis o de tomarlo en el momento incorrecto también son menores con solo un medicamento.

Si el tratamiento con un solo medicamento no le ayuda lo suficiente, su médico puede sugerirle un segundo medicamento para ayudar a mejorar el control de las crisis. Además, si usted tiene varios tipos de crisis diferentes, es posible que necesite tomar más de un medicamento.

Opciones de medicamentos

Se usan muchos medicamentos diferentes para tratar la epilepsia. Algunos se usan solos, y otros solamente se usan junto con otros medicamentos. Sus opciones de medicamentos dependen en parte del tipo de crisis que tenga. Los medicamentos que se enumeran abajo no son los únicos que se usan para tratar la epilepsia, pero son los más comunes.

Medicamentos usados para crisis parciales, incluidas aquellas con generalización secundaria

  • Carbamazepina (como Carbatrol)
  • Lamotrigina (Lamictal)
  • Levetiracetam (Keppra)
  • Oxcarbazepina (como Trileptal)

Medicamentos usados para crisis primarias generalizadas (tónico-clónicas)

  • Lamotrigina (Lamictal)
  • Levetiracetam (Keppra)
  • Valproato (como Depakene)

Medicamentos usados para crisis de ausencia

  • Etosuximida (Zarontin)
  • Valproato (como Depakene)

Medicamentos usados para ausencia atípica, crisis mioclónicas o atónicas

  • Lamotrigina (Lamictal)
  • Levetiracetam (Keppra)
  • Valproato (como Depakene)

Otros medicamentos usados para tratar las crisis incluyen:

  • Clobazam (Onfi).
  • Clonazepam (Klonopin).
  • Ezogabina (Potiga).
  • Felbamato (Felbatol).
  • Gabapentina (como Neurontin).
  • Lacosamida (Vimpat).
  • Topiramato (como Topamax).
  • Fenobarbital (Luminal).
  • Fenitoína (como Dilantin).
  • Pregabalina (Lyrica).
  • Rufinamida (Banzel).
  • Tiagabina (Gabitril).
  • Vigabatrina (Sabril).
  • Zonisamida (Zonegran).

Vea la información en:

  • Epilepsia: Cómo tomar sus medicamentos en forma adecuada.

Muchos de los medicamentos enumerados arriba controlan los mismos tipos de crisis epilépticas con igual eficacia. La mayoría de los medicamentos antiepilépticos pueden provocar náuseas, mareos y somnolencia cuando se toman por primera vez. Pero estos efectos suelen desaparecer una vez que su organismo se adapta al medicamento. Los problemas sanguíneos y hepáticos son comunes con muchos de ellos. Es posible que tenga que hacerse análisis de sangre periódicos para vigilar estos efectos secundarios mientras esté tomando los medicamentos.

Aparte de estos problemas comunes, los medicamentos tienen diferentes efectos secundarios, riesgos para la salud y costos. Un medicamento que funciona para otra persona podría no ayudarle a usted.

Cuando los medicamentos más comúnmente utilizados no pueden controlar las crisis epilépticas o no pueden utilizarse por alguna otra razón, es posible que usted aún tenga otras opciones farmacológicas.

  • Muchos medicamentos nuevos se están produciendo y probando en ensayos clínicos, pero todavía no son de uso regular. Uno de estos podría ser una opción. Las personas epilépticas que no han respondido a la terapia estándar a veces eligen participar en estos ensayos. Para aprender más sobre los ensayos clínicos, hable con su médico o visite el sitio web de los Institutos Nacionales de la Salud (National Institutes of Health) sobre ensayos clínicos en www.clinicaltrials.gov.
  • Existen también unos cuantos medicamentos que solo se usan para determinadas formas raras o graves de epilepsia en niños. Los niños que tienen espasmos infantiles, por ejemplo, pueden responder a un corticosteroide, a la vigabatrina o a la corticotropina (ACTH, por sus siglas en inglés).

Para pensar

Todos los medicamentos antiepilépticos tienen algunos efectos secundarios desagradables. En el caso ideal, los medicamentos funcionan para prevenir las crisis epilépticas sin causar efectos secundarios insoportables.

Al elegir entre medicamentos que tratan el mismo tipo de crisis, usted y su médico tendrán en cuenta factores como:

  • Lo bien que funciona el medicamento. La eficacia de un medicamento suele influir en su disposición a tomarlo.
  • Los posibles efectos secundarios de cada medicamento.
  • Los riesgos para la salud a largo plazo de cada medicamento.
  • La frecuencia con que se debe tomar cada medicamento.
  • Su edad. Los efectos secundarios podrían no afectar a niños y a adultos de la misma manera. Es posible que los medicamentos que pueden afectar la memoria y los procesos de razonamiento tengan un impacto más grave en adultos mayores.
  • Sus antecedentes médicos y otras inquietudes de salud que pueden afectar el uso de un medicamento. Por ejemplo, muchos medicamentos antiepilépticos pueden causar problemas hepáticos y sanguíneos poco comunes y pueden ser muy peligrosos si usted ya tiene una enfermedad hepática o un trastorno sanguíneo.
  • La experiencia del médico en tratar a personas con cada medicamento.
  • El costo de cada medicamento.

Puede ser difícil establecer una rutina farmacológica que funcione. Encontrar la dosis correcta de un medicamento puede tomar meses. Algunas personas pueden tener salpullidos, náuseas, pérdida de coordinación y otros problemas a corto plazo cuando comienzan a tomar medicamentos para la epilepsia. Si el primer medicamento que usted prueba no previene las crisis o usted no puede tolerar sus efectos secundarios, el médico podría tener que iniciar el proceso de nuevo con un medicamento diferente. Las posibilidades de que la aumentan a medida que aumenta la cantidad de medicamentos que se han probado.

Si usted o su hijo tiene epilepsia y necesita comenzar o cambiar una rutina farmacológica, hable con su médico acerca de lo que puede esperar del tratamiento con el medicamento. Es posible que usted no tenga la opción de elegir entre medicamentos, dependiendo del tipo de crisis epilépticas que usted o su hijo tengan y de otros factores. Reflexionar y hacer le ayudará a prepararse para el tratamiento.

El embarazo plantea inquietudes particulares para las mujeres que toman medicamentos antiepilépticos. Antes de quedar embarazada, asegúrese de hablar con su médico acerca de cómo manejar su tratamiento.

Tal vez desee pensar en dejar de tomar los medicamentos si no ha tenido crisis epilépticas en varios años. Aproximadamente entre 6 y 7 de cada 10 personas en esta situación pueden dejar de tomar medicamentos antiepilépticos sin volver a tener otra crisis durante varios años.nota 2 Pero no deje de tomar su medicamento sin hablar con su médico primero.

Aviso de la FDA. La Administración de Alimentos y Medicamentos de los EE. UU. (U.S. Food and Drug Administration o FDA, por sus siglas en inglés) ha publicado un aviso acerca de los medicamentos antiepilépticos y el riesgo de suicidio. Hable con su médico acerca de estos posibles efectos secundarios y las señales de advertencia del suicidio y en niños y adolescentes.

Cirugía

Cirugía

Aunque los medicamentos son el enfoque más común para el tratamiento de la epilepsia, no siempre funcionan. En casi un tercio de las personas con epilepsia, los medicamentos no pueden controlar las crisis de manera adecuada (o en absoluto, en algunos casos). Este número es más alto todavía en personas que tienen epilepsia focal. La cirugía puede mejorar en gran medida las vidas de algunas personas que tienen epilepsia.

Es posible que usted sea un buen candidato para la cirugía si sus crisis epilépticas:

  • Se presentan con suficiente frecuencia como para perturbar significativamente su vida.
  • Tienden a causar lesiones o daños (por ejemplo, si las crisis causan caídas frecuentes).
  • Cambian o alteran su estado de conciencia.
  • No están bien controladas con medicamentos o usted no puede tolerar los efectos secundarios de los medicamentos.

Tener crisis epilépticas frecuentes o graves a menudo le impide conducir, realizar ciertos tipos de trabajo y hacer otras actividades. Es posible que los medicamentos no controlen estas crisis. O los medicamentos podrían causar efectos secundarios lo suficientemente graves como para perturbar su estilo de vida.

La cirugía no es un enfoque de "último recurso" para el tratamiento de la epilepsia. A menudo, puede ser una mejor opción que tratar todo tipo de medicamentos. Por ejemplo, para los adultos con epilepsia del lóbulo temporal, la cirugía puede considerarse si se prueban dos medicamentos diferentes de primera línea y ninguno controla las crisis de manera adecuada. Para ciertos tipos de epilepsia infantil —trastornos de la infancia que los niños no pueden superar y que no responden a medicamentos— operar a la edad más temprana posible puede ofrecer el mayor beneficio para el niño. El cerebro de un niño es más adaptable y se recupera mejor después de la cirugía.

La cirugía para la epilepsia extirpa una zona de tejido anormal en el cerebro, como un tumor o tejido cicatricial, o la zona específica de tejido cerebral en la que comienzan las crisis. Antes de la cirugía, es posible que le hagan varias pruebas (que incluyen un electroencefalograma [EEG], imágenes por resonancia magnética [MRI, por sus siglas en inglés] y monitoreo por vídeo) para encontrar el lugar exacto en el que comienzan las crisis epilépticas en el cerebro. Una vez que se ha encontrado la zona de tejido anormal en la que comienzan las crisis epilépticas, los médicos pueden decidir si se puede o no extraer de manera segura.

La cirugía suele realizarse en un hospital que está asociado con un centro para la epilepsia. La operación suele durar unas cuantas horas, y usted tendrá que permanecer en el hospital durante algunos días después. Quizás necesite varios meses o más tiempo antes de que sienta que ha recuperado completamente la normalidad.

Opciones de cirugía

El tipo de cirugía para la epilepsia depende del lugar del cerebro en el que comienzan las crisis.

La cirugía más común es la lobectomía temporal anterior, que es la extirpación de parte de uno de los lóbulos temporales del cerebro. Para muchas personas con epilepsia del lóbulo temporal, esta operación ofrece una muy buena probabilidad de llegar a suprimir las crisis.

Algunos tipos de cirugía por lo general se realizan solo en niños.

  • La callosotomía ayuda a algunos niños que tienen síndrome de Lennox-Gastaut reduciendo las caídas que se producen durante las crisis. Estas pueden producirse con frecuencia y a menudo causan lesiones al niño.
  • La hemisferectomía durante los primeros años de vida puede beneficiar a los niños con otras formas graves y poco frecuentes de epilepsia (como el síndrome de Rasmussen o la enfermedad de Sturge-Weber).

Para pensar

La cirugía puede ser muy eficaz para algunas personas epilépticas. Sin embargo, la cirugía no es una opción para todas las personas. Si usted o su hijo tienen un tipo de epilepsia que podría mejorar con el tratamiento quirúrgico, tal vez desee reflexionar acerca de lo siguiente:

  • La cirugía no es un último recurso. Se puede considerar después de probar dos medicamentos sin éxito.
  • La cirugía temprana para algunos tipos de epilepsia infantil puede eliminar las crisis y prevenir o revertir los retrasos en el desarrollo. Los niños son buenos candidatos para la cirugía. Tienden a recuperarse con rapidez y a tener menos problemas después.
  • Las personas que tienen epilepsia del lóbulo temporal y cuyas crisis no mejoran con medicamentos podrían ser buenos candidatos para la cirugía.
  • La cirugía no siempre es una cura para la epilepsia. Algunas personas no vuelven a tener crisis epilépticas después de la cirugía. Pero para muchas otras, la cirugía solo reduce la frecuencia o la gravedad de las crisis.
  • Usted tiene que estar sano para operarse y beneficiarse de la operación. Es posible que las personas que tienen enfermedades graves, trastornos psiquiátricos o problemas neurológicos además de epilepsia tengan que ser evaluadas por otros especialistas para ver si son buenas candidatas para la cirugía de epilepsia.
  • En la cirugía de epilepsia se extrae parte del cerebro. Puede afectar la función cerebral, aunque los efectos podrían ser menos molestos que los causados por la epilepsia en sí misma. Los problemas después de la cirugía pueden ser de leves a graves, como tener menos energía, deficiencias visuales, problemas de habla y memoria, y debilidad o parálisis parcial en un lado del cuerpo, y pueden ser temporales o permanentes.
  • La cirugía cerebral es una manera costosa de tratar la epilepsia y conlleva muchos riesgos. Incluso si los medicamentos no previenen las crisis epilépticas, la cirugía puede no ser recomendable si usted solo tiene crisis de vez en cuando o estas no son graves.
Otros tratamientos médicos

Otros tratamientos médicos

Durante muchos años, los medicamentos antiepilépticos eran el único tratamiento para las personas epilépticas. Esto sigue siendo cierto para muchas personas, aunque ahora la cirugía es una opción para algunos. Las crisis que no pueden controlarse con medicamentos o tratarse quirúrgicamente pueden a veces responder a otros tratamientos.

Otras opciones de tratamiento

Los tratamientos para la epilepsia que pueden usarse junto con medicamentos y cirugía incluyen:

  • Dietas especiales. Por ejemplo, la dieta cetógena es un tipo de alimentación que trata de forzar al cuerpo a usar más grasas como forma de energía (en vez de azúcar) limitando estrictamente los carbohidratos, como los panes, la pasta, las frutas y las verduras, así como las calorías totales.
  • Estimulación nerviosa. Un dispositivo, el estimulador del nervio vago, envía señales eléctricas débiles al nervio vago en el cuello, el cual a su vez envía las señales al cerebro a intervalos regulares para reducir las crisis. Otro dispositivo, llamado sistema de neuroestimulación sensible, se implanta dentro del cráneo. Detecta cuando puede estar empezando una crisis y envía una señal débil para evitarla.
Referencias

Referencias

Citas bibliográficas

  1. Christensen J, et al. (2007). Epilepsy and the risk of suicide: A population-based case-control study. Lancet Neurology. Published online July 3, 2007 (DOI: 10.1016/S1474-4422(07)70175-8).
  2. Bazil CW, Pedley TA (2010). Epilepsy. In LP Rowland, TA Pedley, eds., Merritt's Neurology, 12th ed., pp. 927–948. Philadelphia: Lippincott Williams and Wilkins.

Esta información no reemplaza el consejo de un médico. Ignite Healthwise, LLC, niega toda garantía y responsabilidad por el uso de esta información. El uso que usted haga de esta información implica que usted acepta los Términos de Uso. Aprenda cómo desarrollamos nuestro contenido.

© 2024-2025 Ignite Healthwise, LLC.

Enlaces relacionados

Cómo llevar la cuenta de los medicamentos que toma Cómo ayudar a una persona durante un episodio de convulsiones Convulsiones Cómo reducir el costo de los medicamentos

<cipublic-spinner variant="large"><span>Loading…</span></cipublic-spinner>

Page Footer

Quiero...

Obtener una tarjeta ID Presentar un reclamo Ver mis reclamos y EOB Verificar la cobertura de mi plan Ver la lista de medicamentos con receta Buscar un médico, dentista o centro dentro de la red Buscar un formulario Buscar información del formulario de impuestos 1095-B Ver el Glosario de Cigna Comunicarme con Cigna

Audiencia

Individuos y familias Empleadores Agentes Proveedores

Sitios seguros para miembros

Portal myCigna para miembros Portal para proveedores de cuidado de la salud Cigna para empleadores Portal de recursos para clientes Cigna para agentes

Información sobre The Cigna Group

Acerca de Cigna Healthcare Perfil de la compañía Empleos Sala de prensa Inversionistas Distribuidores The Cigna Group Administradores externos Internacional Evernorth

 Cigna. Todos los derechos reservados.

Privacidad Asuntos legales Divulgaciones sobre productos Nombres de la compañía Cigna Derechos de los clientes Accesibilidad Aviso sobre no discriminación Asistencia idiomática [PDF] Reportar fraude Mapa del sitio Configuración de cookies

Aviso legal

Los planes individuales y familiares de seguro médico y dental están asegurados por Cigna Health and Life Insurance Company (CHLIC), Cigna HealthCare of Arizona, Inc., Cigna HealthCare of Illinois, Inc., Cigna HealthCare of Georgia, Inc., Cigna HealthCare of North Carolina, Inc., Cigna HealthCare of South Carolina, Inc. y Cigna HealthCare of Texas, Inc. Los planes de beneficios de salud y de seguro de salud de grupo están asegurados o administrados por CHLIC, Connecticut General Life Insurance Company (CGLIC) o sus afiliadas (puedes ver un listado de las entidades legales que aseguran o administran HMO para grupos, HMO dentales y otros productos o servicios en tu estado). Los planes o pólizas de seguro para lesiones accidentales, enfermedades críticas y cuidado hospitalario son distribuidos exclusivamente por o a través de subsidiarias operativas de Cigna Corporation, son administrados por Cigna Health and Life Insurance Company y están asegurados por (i) Cigna Health and Life Insurance Company (Bloomfield, CT), (ii) Life Insurance Company of North America (“LINA”) (Philadelphia, PA) o (iii) New York Life Group Insurance Company of NY (“NYLGICNY”) (New York, NY), anteriormente llamada Cigna Life Insurance Company of New York. El nombre Cigna, el logotipo y otras marcas de Cigna son propiedad de Cigna Intellectual Property, Inc. LINA y NYLGICNY no son afiliadas de Cigna.

Todas las pólizas de seguros y los planes de beneficios de grupo contienen exclusiones y limitaciones. Para conocer la disponibilidad, los costos y detalles completos de la cobertura, comunícate con un agente autorizado o con un representante de ventas de Cigna. Este sitio web no está dirigido a los residentes de New Mexico.

Al seleccionar estos enlaces saldrás de Cigna.com hacia otro sitio web que podría no ser un sitio web de Cigna. Cigna no puede controlar el contenido ni los enlaces de sitios web que no son de Cigna. Detalles