Ir al menú principal
Ir al contenido principal
Ir al pie de página
Para
Medicare
Para
Proveedores
Para
Agentes
Para
Empleadores
EnglishPara individuos y familias:
Para individuos y familias
Comprar planes
Comprar planes
Comprar tu propia cobertura
Médica
Dental
Otros seguros complementarios
Planes a través de tu empleador
Conoce sobre los beneficios médicos, dentales, de farmacia y voluntarios que tu empleador puede ofrecer.
Explorar cobertura a través de tu empleador
Aprender
Cómo comprar seguros de salud
Tipos de seguro dental
Período de Inscripción Abierta vs. Período Especial de Inscripción
Ver todos los temas
¿Vives o trabajas fuera del país?
Comprar planes de seguros internacionales
Guía para miembros
Buscar un médico
Médica
Dental
Otros seguros complementarios
Explorar cobertura a través de tu empleador
Cómo comprar seguros de salud
Tipos de seguro dental
Período de Inscripción Abierta vs. Período Especial de Inscripción
Ver todos los temas
Comprar planes de seguros internacionales
Guía para miembros
Buscar un médico
Ingresar a myCigna
InicioCentro de informaciónBiblioteca del bienestarProblemas del tendón de Aquiles
El tendón de Aquiles conecta el músculo de la pantorrilla con el hueso del talón. El músculo de la pantorrilla en realidad está formado por dos músculos, el músculo gastrocnemio y el músculo sóleo. El sóleo se encuentra debajo del gastrocnemio.
El tendón de Aquiles es el tendón más grande del cuerpo. Le permite ponerse de puntillas y empujar mientras camina o corre.
¿Cuáles son algunos problemas del tendón de Aquiles?
Las dos lesiones principales son:
Tendinopatía del tendón de Aquiles.
Esto se refiere a pequeños desgarros (microdesgarros) en el tejido dentro y alrededor del tendón. Estos desgarros están causados por el uso excesivo. Esto a menudo se llama tendinitis del tendón de Aquiles.
Desgarro o rotura del tendón de Aquiles.
Un tendón de Aquiles también puede desgarrarse parcialmente o desgarrarse completamente (romperse). Un desgarro parcial puede causar síntomas leves o no causar síntomas. Pero una rotura completa causa dolor y pérdida repentina de fuerza y movimiento.
Puede parecer que los problemas con este tendón suceden repentinamente. Pero en la mayoría de los casos son el resultado de muchos pequeños desgarros en el tendón que se han producido con el tiempo.
Otras afecciones pueden afectar la zona del tendón de Aquiles. Estas incluyen:
Paratendinitis del tendón de Aquiles.
Bursitis retrocalcánea.
Tendinopatía insercional del tendón de Aquiles.
¿Cuáles son los síntomas?
Los síntomas de una tendinopatía del tendón de Aquiles pueden incluir:
Dolor en la parte posterior del talón, en la zona del tendón de Aquiles. El dolor puede ser leve o intenso. Puede aparecer lentamente o puede ocurrir solo cuando camina o corre. Puede haber hinchazón.
Sensibilidad en la zona del tendón de Aquiles. Puede que lo note más por la mañana.
Rigidez que desaparece a medida que el tendón se calienta con el uso.
Disminución de la fuerza y el movimiento, o una sensación de lentitud en la pierna.
Los síntomas de un desgarro del tendón de Aquiles pueden incluir un dolor repentino e intenso. La mayoría de las personas sienten o escuchan un crujido. Es posible que tenga hinchazón y hematomas. Es posible que no pueda apuntar con el pie hacia abajo o ponerse de puntillas. Es posible que algunas personas con desgarros parciales no tengan síntomas.
¿Cómo se diagnostican estos problemas?
Para diagnosticar problemas del tendón de Aquiles, como una tendinopatía o un desgarro, la mayoría de los médicos hacen preguntas sobre sus antecedentes de salud y realizan un examen físico. El examen incluye verificar la sensibilidad, observar cómo camina y se pone de pie, y comparar la amplitud de movimiento de sus dos piernas.
Se pueden realizar otras pruebas para aclarar un diagnóstico o prepararse para la cirugía. Estas pruebas incluyen:
Ecografía. Se puede usar para ver si hay un desgarro del tendón o señales de tendinopatía.
Radiografías. Estas se utilizan para revisar el hueso del talón.
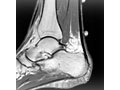
Resonancia magnética. Se puede usar para revisar el tendón y ver si hay señales de tendinopatía o desgarro del tendón. También se utiliza una resonancia magnética para evaluar el hueso del talón.
¿Cómo se tratan los problemas del tendón de Aquiles?
El tratamiento para los problemas leves del tendón de Aquiles, como la tendinopatía de Aquiles, incluye reposo, analgésicos de venta libre y ejercicios de estiramiento. Es posible que deba usar zapatos bien acolchados y cambiar la forma en que practica deportes. Los dispositivos de calzado ortopédico pueden ayudar a reducir la sobrecarga en el tendón. Puede recibir fisioterapia. En algunos casos, puede necesitarse cirugía.
Es posible que se use la cirugía para tratar un tendón desgarrado. También se puede usar un yeso, una tablilla, un aparato ortopédico, una bota ortopédica u otro dispositivo. Estos dispositivos evitan que se mueva la parte inferior de la pierna y el tobillo. La rehabilitación sigue ambos tratamientos. También se puede utilizar el ejercicio, ya sea en fisioterapia o en un programa de rehabilitación.
¿Cómo puede ayudar a prevenir un problema en el tendón de Aquiles?
La mayoría de las lesiones del tendón de Aquiles ocurren durante la práctica de deportes. Si tuvo un problema en el tendón de Aquiles en el pasado, es aún más importante tratar de prevenir otra lesión. Asegúrese de:
Hacer calentamiento. Antes de cualquier actividad deportiva o intensa, caliente su cuerpo gradualmente caminando o montando en bicicleta por entre 5 y 10 minutos.
Hacer un enfriamiento y estiramientos. Después de la actividad intensa, haga un enfriamiento gradual con unos 5 minutos corriendo a paso suave, caminando o andando en bicicleta. Después haga 5 minutos de estiramientos.
Evitar cualquier deporte o actividad intensa que no esté en condiciones de hacer.
Usar zapatos que amortigüen el talón durante los deportes o cualquier actividad extenuante.
Usar taloneras u otros dispositivos ortopédicos diseñados para reducir la tensión en el tendón de Aquiles.
Revisado: 24 julio, 2025
Autor: El personal de Ignite Healthwise, LLC
Comité de revisión clínica Todo el material educativo de Ignite Healthwise, LLC es revisada por un equipo que incluye médicos, enfermeras, profesionales sanitarios avanzados, dietistas registrados y otros profesionales de atención médica.
Esta información no reemplaza el consejo de un médico. Ignite Healthwise, LLC, niega toda garantía y responsabilidad por el uso de esta información. El uso que usted haga de esta información implica que usted acepta los Términos de Uso. Aprenda cómo desarrollamos nuestro contenido.
Para aprender más sobre Ignite Healthwise, LLC, visite webmdignite.com.
Obtener una tarjeta ID
Presentar un reclamo
Ver mis reclamos y EOB
Verificar la cobertura de mi plan
Ver la lista de medicamentos con receta
Buscar un médico, dentista o centro dentro de la red
Buscar un formulario
Buscar información del formulario de impuestos 1095-B
Ver el Glosario de Cigna
Comunicarme con Cigna
Audiencia
Individuos y familias
Empleadores
Agentes
Proveedores
Sitios seguros para miembros
Portal myCigna para miembros
Portal para proveedores de cuidado de la salud
Cigna para empleadores
Portal de recursos para clientes
Cigna para agentes
Información sobre The Cigna Group
Acerca de Cigna Healthcare
Perfil de la compañía
Empleos
Sala de prensa
Inversionistas
Distribuidores
The Cigna Group
Administradores externos
Internacional
Evernorth
Cigna. Todos los derechos reservados.
Privacidad
Asuntos legales
Divulgaciones sobre productos
Nombres de la compañía Cigna
Derechos de los clientes
Accesibilidad
Aviso sobre no discriminación
Asistencia idiomática [PDF]
Reportar fraude
Mapa del sitio
Configuración de cookies
Aviso legal
Los planes individuales y familiares de seguro médico y dental están asegurados por Cigna Health and Life Insurance Company (CHLIC), Cigna HealthCare of Arizona, Inc., Cigna HealthCare of Illinois, Inc., Cigna HealthCare of Georgia, Inc., Cigna HealthCare of North Carolina, Inc., Cigna HealthCare of South Carolina, Inc. y Cigna HealthCare of Texas, Inc. Los planes de beneficios de salud y de seguro de salud de grupo están asegurados o administrados por CHLIC, Connecticut General Life Insurance Company (CGLIC) o sus afiliadas (puedes ver
un listado de las entidades legales
que aseguran o administran HMO para grupos, HMO dentales y otros productos o servicios en tu estado). Los planes o pólizas de seguro para lesiones accidentales, enfermedades críticas y cuidado hospitalario son distribuidos exclusivamente por o a través de subsidiarias operativas de Cigna Corporation, son administrados por Cigna Health and Life Insurance Company y están asegurados por (i) Cigna Health and Life Insurance Company (Bloomfield, CT), (ii) Life Insurance Company of North America (“LINA”) (Philadelphia, PA) o (iii) New York Life Group Insurance Company of NY (“NYLGICNY”) (New York, NY), anteriormente llamada Cigna Life Insurance Company of New York. El nombre Cigna, el logotipo y otras marcas de Cigna son propiedad de Cigna Intellectual Property, Inc. LINA y NYLGICNY no son afiliadas de Cigna.
Todas las pólizas de seguros y los planes de beneficios de grupo contienen exclusiones y limitaciones. Para conocer la disponibilidad, los costos y detalles completos de la cobertura, comunícate con un agente autorizado o con un representante de ventas de Cigna. Este sitio web no está dirigido a los residentes de New Mexico.
Al seleccionar estos enlaces saldrás de Cigna.com hacia otro sitio web que podría no ser un sitio web de Cigna. Cigna no puede controlar el contenido ni los enlaces de sitios web que no son de Cigna.
Detalles