Conoce sobre los beneficios médicos, dentales, de farmacia y voluntarios que tu empleador puede ofrecer.
Esta información es producida y suministrada por el Instituto Nacional del Cáncer (NCI, por sus siglas en inglés). La información en este tema puede haber cambiado desde que se escribió. Para la información más actual, comuníquese con el Instituto Nacional del Cáncer a través del Internet en la página web http://cancer.gov o llame al 1-800-4-CANCER.
Aunque al principio de este resumen se proporciona información sobre las malformaciones vasculares, el resto del resumen se centra en los tumores y no en las malformaciones.
Si bien las malformaciones vasculares no son tumores, la causa de muchas de estas son variantes somáticas susceptibles de tratamiento. Este descubrimiento implica que ahora se les solicite a los oncólogos pediátricos asistencia para el tratamiento de estas lesiones. Por lo tanto, es importante que los oncólogos comprendan las características biológicas y el abordaje clínico de las malformaciones vasculares frecuentes.
Las anomalías vasculares conforman un grupo de enfermedades poco frecuentes clasificadas como tumores o malformaciones vasculares. Por lo general, los tumores vasculares son proliferativos, mientras que las malformaciones aumentan de tamaño por la expansión de una anomalía del desarrollo sin proliferación subyacente.
Las malformaciones vasculares se distinguen de los tumores vasculares en que tienen renovación celular baja y no son invasivos.[
En la clasificación de la International Society for the Study of Vascular Anomalies (ISSVA), se subdividen las malformaciones vasculares según el tipo de vaso sanguíneo.[
Las lesiones de flujo lento incluyen las lesiones venosas, linfáticas, capilares o combinadas. Es posible que este tipo de lesiones cause complicaciones, como dolor, infección, hemorragia, trombosis y disfunción orgánica.
El tratamiento de los pacientes con malformaciones vasculares requiere un abordaje interdisciplinario que incluye observación, cirugía, intervención endovascular y tratamiento médico. La evidencia disponible que respalda la elección del tratamiento entre estas opciones es poco sólida. Por otro lado, las tasas de recidiva de estas lesiones son relativamente altas.[
Las malformaciones vasculares se producen en su mayoría por variantes de la vía MAP2K/PIK3CA. Casi todas son variantes somáticas activadoras, pero, en pocas ocasiones, se encuentran variantes germinales. Entre un tercio y la mitad de las malformaciones venosas son consecuencia de mutaciones somáticas o, raras veces, de variantes germinales del gen TEK (o TIE2).[
El sirólimus se usó al principio como un tratamiento dirigido a la vía PI3K en malformaciones de flujo lento, lo que condujo a una mejora de los síntomas en muchos pacientes. No está claro si el tratamiento reduce el tamaño de las lesiones porque suele haber una fluctuación considerable en la dimensión de las mismas y el tratamiento, por lo general, comienza cuando las lesiones aumentan de tamaño. El uso de sirólimus para las malformaciones venosas y linfáticas cuenta con evidencia de grado C (serie de casos, otros diseños de estudios de observación, estudios de fase II).[
Existe cierto respaldo para el uso de terapia dirigida en malformaciones de flujo rápido y anomalías linfáticas complicadas causadas por variantes somáticas y germinales de la vía MAPK, incluso las variantes de ganancia de función de MAP2K1, KRAS, NRAS y BRAF.[
Opciones de tratamiento en evaluación clínica
La información en inglés sobre los ensayos clínicos patrocinados por el Instituto Nacional del Cáncer (NCI) se encuentra en el
A continuación se presentan ejemplos de ensayos clínicos nacionales o institucionales en curso:
Referencias:
Los tumores vasculares son tumores proliferativos benignos o malignos. El crecimiento o la expansión de los tumores vasculares pueden causar problemas clínicos, como desfiguración, dolor crónico, coagulopatías, disfunción orgánica y muerte.
La calidad de la evidencia sobre los tumores vasculares infantiles está limitada por la recolección retrospectiva de datos, el tamaño pequeño de la muestra, los sesgos de selección y participación en las cohortes, así como la heterogeneidad de los trastornos.
En el pasado, las opciones de tratamiento disponibles eran escasas y no se validaba la eficacia en ensayos clínicos prospectivos. Tradicionalmente, los tratamientos consistían en procedimientos quirúrgicos e intervenciones usadas para la paliación de los síntomas. Se contaba con pocos tratamientos médicos. Ahora se dispone de opciones terapéuticas más nuevas con propranolol y sirólimus para el tratamiento de pacientes con tumores vasculares complejos. Se publicaron los resultados del primer ensayo clínico prospectivo en el que se usó el propranolol para el hemangioma infantil, así como los del primer ensayo clínico prospectivo sobre la eficacia del sirólimus para el tratamiento de las anomalías vasculares complejas, incluso los tumores vasculares.[
Los hemangiomas infantiles, con una prevalencia del 4 % al 5 %, son los tumores benignos más comunes durante la primera infancia. Otros tumores vasculares son poco frecuentes. La clasificación de estos tumores ha sido difícil, en especial en el entorno de la población pediátrica, debido a su escasez, la apariencia morfológica atípica, su comportamiento clínico variado y la falta de estratificación independiente de los tumores pediátricos. En 2020, la Organización Mundial de la Salud (OMS) actualizó la clasificación de los tumores vasculares de tejido blando.[
La clasificación de la International Society for the Study of Vascular Anomalies (ISSVA) de los tumores se fundamenta en la clasificación de la OMS, pero utiliza una terminología y fenotipos más precisos. La Asamblea General de la ISSVA adoptó un sistema de clasificación actualizado en 2014 al que luego se le incorporó más información en 2018 (
| Categoría | Tipo de tumor vascular |
|---|---|
| SAI = sin otra indicación. | |
| a Adaptado de WHO Classification of Tumours Editorial Board.[ |
|
| Benigno | Hemangioma SAI |
| Hemangioma intramuscular | |
| Hemangioma arteriovenoso | |
| Hemangioma venoso | |
| Hemangioma epitelioide | |
| Linfangioma SAI | |
| Linfangioma quístico | |
| Hemangioma en penacho adquirido | |
| Intermedio (localmente invasor) | Hemangioendotelioma kaposiforme |
| Intermedio (metastatiza con poca frecuencia) | Hemangioendotelioma retiforme |
| Angioendotelioma papilar intralinfático | |
| Hemangioendotelioma compuesto | |
| Sarcoma de Kaposi | |
| Hemangioendotelioma pseudomiogénico (similar al sarcoma epitelioide) | |
| Maligno | Hemangioendotelioma epitelioide SAI |
| Angiosarcoma | |
| Categoría | Tipo de tumor vascular (genes causales) |
|---|---|
| a Adaptado de ISSVA Classification of Vascular Anomalies. ©2018 International Society for the Study of Vascular Anomalies. Disponible en " |
|
| b Para obtener más información en inglés sobre los tumores vasculares benignos 2, consultar la |
|
| c El angioma en penacho y el hemangioendotelioma kaposiforme son variantes de la misma entidad clínica y se analizarán juntos. | |
| Benigno (tipo 1b) | Hemangioma infantil/hemangioma de la primera infancia |
| Hemangioma congénito (GNAQ,GNA11) | |
| —Involución rápida (RICH) | |
| —Sin involución (NICH) | |
| —Involución parcial (PICH) | |
| Angioma en penachoc | |
| Hemangioma fusocelular (IDH1, IDH2) | |
| Hemangioma epitelioide (FOS) | |
| Granuloma piógeno (también conocido como hemangioma capilar lobulillar) (BRAF, RAS, GNA14) | |
| Otros | |
| Invasor local o limítrofe | Hemangioendotelioma kaposiforme (KHE) (GNA14) |
| Hemangioendotelioma retiforme | |
| Angioendotelioma papilar intralinfático (PILA), tumor de Dabska | |
| Hemangioendotelioma compuesto | |
| Hemangioendotelioma pseudomiogénico (FOSB) | |
| Hemangioendotelioma polimorfo | |
| Hemangioendotelioma sin otra indicación | |
| Sarcoma de Kaposi | |
| Otros | |
| Maligno | Angiosarcoma (MYC: posradioterapia) |
| Hemangioendotelioma epitelioide (EHE) (CAMTA1, TFE3) | |
| Otros | |
Referencias:
El cáncer en niños y adolescentes es raro, aunque desde 1975 se ha observado un aumento gradual de la incidencia general.[
Para obtener información específica sobre los cuidados médicos de apoyo para niños y adolescentes con cáncer, consultar los resúmenes de
La American Academy of Pediatrics estableció pautas para los centros de oncología pediátrica y su función en el tratamiento de los pacientes con cáncer infantil.[
Se han logrado mejoras importantes en la supervivencia de niños y adolescentes con cáncer.[
Referencias:
Los tumores vasculares benignos son los siguientes:
El angiofibroma nasofaríngeo juvenil no se incluye en la clasificación de la Organización Mundial de la Salud (OMS) ni en la clasificación de la Internacional Society for the Study of Vascular Anomalies (ISSVA) de tumores vasculares. Se incluye aquí debido a que cada vez hay más evidencia que revela la diferenciación vascular y proliferación de estos tumores con respuesta a la remodelación vascular y los fármacos antiproliferativos.
Hemangioma infantil
Incidencia y epidemiología
Los hemangiomas infantiles (HI) son los tumores vasculares benignos más comunes de la primera infancia; se presentan en un 4 % a un 5 % de los lactantes. Se desconoce su verdadera incidencia.[
Los hemangiomas infantiles son más comunes en las mujeres, los pacientes blancos que no son hispanos y los lactantes prematuros. Los hemangiomas múltiples son más comunes en los lactantes de gestaciones múltiples o de fertilización in vitro.[
Cuadro clínico inicial
La mayoría de los hemangiomas infantiles no están presentes en el nacimiento, pero a menudo se observan lesiones precursoras como telangiectasia, discromía tenue o hipopigmentación de la piel. La lesión se puede confundir con un hematoma causado por trauma al nacer o con una malformación capilar (mancha en vino de Oporto) (consultar la
Los hemangiomas infantiles se pueden ubicar en la superficie de la dermis, en la profundidad del tejido subcutáneo, ser mixtos o estar en las vísceras. Las lesiones mixtas son comunes y con frecuencia se presentan en la cabeza y el cuello, pero a veces aparecen en cualquier lugar del cuerpo.
Los hemangiomas infantiles se caracterizan como sigue:
En 2 artículos, se informó sobre esta observación y se indica el compromiso de los derivados de la cresta neural en el hemangioma facial.[
Para obtener información sobre el síndrome PHACE o el síndrome LUMBAR/PÉLVICO/SACRO, consultar la sección
El aspecto cutáneo de un hemangioma infantil por lo general es de color rojo o carmín, y es firme y caliente en la fase proliferativa. La lesión luego se aclara en el centro y se vuelve tibia y más suave; a continuación, se aplana y pierde el color. El proceso de involución puede demorar varios años y, después de involucionar, es poco común que vuelva a crecer. En 2 pacientes tratados con hormona del crecimiento, se observó nuevo crecimiento luego de la involución.[
La ulceración es la complicación más frecuente de los hemangiomas infantiles, y se produce en el 10 % al 15 % de los pacientes. La ulceración suele aparecer durante la fase proliferativa y da lugar a hemorragias e infecciones secundarias.[
Las secuelas permanentes que a veces se presentan después de la involución de los hemangiomas son la telangiectasia, la anetodermia, la piel redundante y un componente superficial persistente. Los hemangiomas con antecedentes de ulceración tienen más probabilidad de causar cicatrices y posibles complicaciones anatómicas locales.[
Características biológicas e histopatológicas
La mayoría de los hemangiomas infantiles se presentan de modo esporádico. Sin embargo, en casos excepcionales obedecen a una anomalía del cromosoma 5 que se presenta con un modo de herencia autosómico dominante.[
Se desconoce el mecanismo exacto que produce la proliferación inicial de vasos sanguíneos seguida por la involución del componente vascular del hemangioma y el remplazo de tejido fibroadiposo. Se aislaron varios tipos de células de los hemangiomas: células madre o progenitoras (HemSC), células endoteliales (HemEC), pericitos (HemPericitos) y mastocitos.[
Las HemSC representan un porcentaje pequeño de las células del hemangioma proliferativo y tienen la capacidad de autorrenovación y diferenciación multilinaje. Estas células se diferencian y se convierten en células endoteliales, adipocitos o pericitos. Cuando las HemSC se implantaron en ratones con inmunodeficiencia, estas formaron lesiones similares a hemangiomas y luego presentaron regresión espontánea, parecido a lo que sucede con los hemangiomas infantiles.[
Las HemEC son células hinchadas, con metabolismo activo y de apariencia semejante a las células endoteliales fetales en fase proliferativa. En la evaluación de las células endoteliales del hemangioma infantil se indica que estas son de naturaleza clonal.[
Los HemPericitos rodean la vasculatura y abundan en la fase proliferativa. Estas células expresan marcadores de pericitos y de células musculares lisas, como el antígeno neural/glial 2 (NG2), el receptor del factor de crecimiento derivado de plaquetas β (PDGFR β), calponina, actina α de músculo liso (SMA) y NOTCH3. Los HemPericitos son proangiogénicos ya que expresan aumento del factor de crecimiento endotelial vascular A (VEGF-A), disminución de la angiopoyetina-1 (ANGPT1), aumento de la proliferación, aumento de la formación de vasos sanguíneos in vivo y disminución de la capacidad de suprimir la proliferación.[
Hay una mayor cantidad de mastocitos durante la fase de involución temprana, pero también se encuentran en cantidades menores durante la fase proliferativa y al final de la involución. Se desconoce su función en los hemangiomas infantiles, aunque se ha observado que tienen cierta importancia en otros tumores cutáneos como el carcinoma de células basales, el carcinoma de células escamosas y el melanoma.[
Durante la proliferación, se expresan factores provasculogénicos, como el VEGF, el factor de crecimiento de fibroblastos (FGF), el CD34, el CD31, el CD133, el receptor hialurónico endotelial vascular linfático 1 (LYVE1) y el factor de crecimiento similar a la insulina 2 (IGF-2).[
La hipoxia cumple una función importante en la patogenia de los hemangiomas. Los hemangiomas se relacionan con la hipoxia placentaria la cual aumenta con la prematuridad, los embarazos múltiples y las anomalías placentarias.[
Evaluación diagnóstica
Los hemangiomas se suelen diagnosticar por los antecedentes y el aspecto clínico. Pocas veces se necesita una biopsia y solo se realiza si el aspecto, los antecedentes y la presentación clínica inicial son atípicos. Por lo general, no se necesitan pruebas con imágenes, pero una ecografía diagnóstica es útil cuando hay una lesión más profunda sin un componente cutáneo que exhibe una lesión de flujo alto hipoecogénica bien circunscrita con una característica típica de onda Doppler.[
Hemangioma infantil de crecimiento mínimo o detenido
El hemangioma infantil de crecimiento mínimo o detenido (IH-MAG) es una variante del hemangioma que se puede confundir con una malformación capilar por sus características inusuales. Estos hemangiomas están completamente formados en el momento del nacimiento y se caracterizan por telangiectasia y vénulas con áreas de coloración claras y oscuras en la piel (consultar la
Hemangioma infantil de las vías respiratorias
Los hemangiomas infantiles de las vías respiratorias se suelen relacionar con hemangiomas segmentarios de distribución en barba, a veces incluye todas o algunas de las siguientes áreas: piel preauricular, mandíbula, labio inferior, mentón o parte anterior del cuello. Es importante que un otorrinolaringólogo evalúe de forma proactiva las lesiones con esta distribución antes de que aparezcan signos de estridor. La incidencia del hemangioma infantil de las vías respiratorias aumenta cuando hay compromiso de un área mayor de la barba.[
Es posible que en el hemangioma infantil de las vías respiratorias no se presenten lesiones en la piel. En un estudio retrospectivo de la Vascular Anomaly Database del Children's Hospital of Pittsburgh se analizaron 761 casos de hemangioma infantil. Entre estos, 13 pacientes (1,7 %) tenían hemangioma subglótico. De estos 13 pacientes, 4 (30 %) tenían distribuciones en barba, 2 (15 %) tenían hemangioma cutáneo y 7 (55 %) no tenían lesiones cutáneas.[
Compromiso oftálmico de los hemangiomas
Los hemangiomas periorbitarios a veces afectan la visión.[
En Francia y Canadá, 2 instituciones realizaron un análisis retrospectivo de pacientes con anomalías vasculares. Los investigadores revisaron los expedientes médicos de todos los pacientes con hemangioma infantil facial segmentario o periorbitario focal para los que se disponía de fotografías e imágenes por resonancia magnética (IRM) del encéfalo.[
Los hemangiomas infantiles se pueden presentar en la conjuntiva (consultar la
Síndromes relacionados con el hemangioma infantil
Síndrome PHACE
Malformaciones de la fosa posterior, hemangiomas, anomalías arteriales, cardíacas y oculares (Posterior fossa–brain malformations; Hemangiomas; Arterial, Cardiac, and Eye abnormalities): el
En una reunión de un grupo de expertos, se actualizaron criterios de consenso para el síndrome PHACE definitivo y posible, de la siguiente manera:[
PHACE
Los lactantes que cumplan con 2 criterios importantes para el síndrome PHACE (por ejemplo, el rafe supraumbilical y la coartación aórtica) pero que no tengan hemangiomas infantiles cutáneos deben someterse a una evaluación completa para evaluar la presencia de síndrome PHACE.
En una revisión retrospectiva, se identificaron hamartomas mesenquimatosos rabdomiomatosos en la línea media y hamartomas en el mentón en una cantidad pequeña de niños con el síndrome PHACE o el
Para diagnosticar el síndrome PHACE se necesita un examen clínico, una evaluación cardíaca con ecocardiograma, una evaluación oftalmológica, e imágenes por resonancia magnética (IRM) o angiografía por resonancia magnética (ARM) de la cabeza y el cuello. Todos los pacientes con hallazgos de riesgo intermedio y de riesgo alto en el sistema nervioso central (SNC) necesitan el seguimiento de un neurólogo o neurocirujano. Una coartación aórtica requiere de consulta cardiológica inmediata y quizás se justifique una IRM o ARM. En un informe de 2 pacientes con hemangiomas infantiles retrorbitales y arteriopatía, se indicó una posible presentación inicial nueva del síndrome PHACE.[
Los problemas a corto y largo plazo relacionados con el síndrome PHACE son los siguientes:[
La mayoría de los pacientes con hemangioma residual estaban satisfechos o muy satisfechos con su apariencia (89,5 %). Fue menos probable que aquellos con antecedentes de cirugía o ulceración notificaran un efecto mínimo en su autoconfianza. De 68 pacientes con arteriopatía que contaban con imágenes de seguimiento, 6 (8,8 %) presentaron vasculopatía moyamoya o esteno-oclusión progresiva que llevó a una circulación aislada a nivel del polígono de Willis o por encima de este. A pesar de esos hallazgos, la proporción de pacientes con ictus isquémico fue baja (2 de 104; 1,9 %). Las puntuaciones de salud general del Patient-Reported Outcomes Measurement Information System (PROMIS) fueron más bajas que los valores normales de la población por lo menos en 1 desviación estándar. Debido a la prevalencia general del síndrome PHACE, no fue posible obtener una potencia estadística suficiente para evaluar de manera exacta todos los desenlaces. Los autores del estudio concluyeron que para los pacientes con síndrome PHACE el seguimiento primario y especializado es importante hasta la edad adulta. Se necesitan nuevos estudios para identificar las orientaciones precisas para hacer el seguimiento a largo plazo.[
| Síntomas | Prevalencia | Síntomas | Prevalencia |
|---|---|---|---|
| TDAH = trastorno por déficit de atención e hiperactividad. | |||
| a Adaptación de: Mitchell Braun, Ilona J. Frieden, Dawn H. Siegel, Elizabeth George, Christopher P. Hess, Christine K. Fox, Sarah L. Chamlin, Beth A. Drolet, Denise Metry, Elena Pope, Julie Powell, Kristen Holland, Caden Ulschmid, Marilyn G. Liang, Kelly K. Barry, Tina Ho, Chantal Cotter, Eulalia Baselga, David Bosquez, Surabhi Neerendranath Jain, Jordan K. Bui, Irene Lara-Corrales, Tracy Funk, Alison Small, Wenelia Baghoomian, Albert C. Yan, James R. Treat, Griffin Stockton Hogrogian, Charles Huang, Anita Haggstrom, Mary List, Catherine C. McCuaig, Victoria Barrio, Anthony J. Mancini, Leslie P. Lawley, Kerrie Grunnet-Satcher, Kimberly A. Horii, Brandon Newell, Amy Nopper, Maria C. Garzon, Margaret E. Scollan, Erin F. Mathes, Multicenter Study of Long-Term Outcomes and Quality of Life in PHACE Syndrome after Age 10, The Journal of Pediatrics, Volumen 267, 2024, 113907, ISSN 0022-3476, |
|||
| b Notificación de por lo menos una convulsión. | |||
| c Incluye el síndrome de |
|||
| Crecimiento tardío de un hemangioma infantil | 13/104 (12,5 %) | Dificultades visuales | 56/104 (53,8 %) |
| Intensificación del color | 11/13 (84,6 %) | Ceguera legal unilateral | 5/104 (4,8 %) |
| Crecimiento profundo | 2/13 (15,4 %) | Cirugías oculares | 26/104 (25 %) |
| Aumento del volumen | 6/13 (46,2 %) | Hipoacusia | 18/104 (17,3 %) |
| Otros síntomas neurológicos | Hipoacusia conductiva | 3/18 (16,7 %) | |
| Convulsionesb | 15/104 (14,4 %) | Hipoacusia neurosensorial | 3/18 (16,7 %) |
| Dificultades del habla | 36/104 (34,6 %) | Hipoacusia mixta | 6/18 (33,3 %) |
| Tratamiento de fonoaudiología | 30/104 (28,8 %) | Hipoacusia no clasificada | 3/18 (16,7 %) |
| Problemas de equilibrio | 28/104 (26,9 %) | Uso de audífonos | 12/104 (11,5 %) |
| Dificultad para deglutir | 11/104 (10,6 %) | Problemas dentales | |
| Tics nerviososc | 6/104 (5,8 %) | Problemas de raíz dental | 16/104 (15,4 %) |
| Diagnósticos relacionados con el aprendizaje | Alteraciones del esmalte | 31/104 (29,8 %) | |
| TDAH | 19/104 (18,3 %) | ||
| Dislexia | 10/104 (9,6 %) | ||
Síndrome LUMBAR/PÉLVICO/SACRO
Los hemangiomas localizados sobre la columna lumbar o sacra quizá se relacionen con problemas genitourinarios, anomalías anorrectales o problemas neurológicos como la médula anclada.[
LUMBAR
PELVIS
SACRO
Las lesiones segmentarias sobre el pliegue interglúteo y la columna lumbar se deben evaluar con ecografía o IRM, según la edad del paciente. En varios estudios, las evaluaciones con ecografías no identificaron algunas anomalías vertebrales que después se detectaron en la evaluación con IRM.[
Hemangiomas múltiples
Los lactantes con más de 5 hemangiomas se deben evaluar para descartar la presencia de hemangiomas viscerales. El sitio de compromiso más común es el hígado, en donde es posible observar lesiones múltiples o difusas.[
Tratamiento del hemangioma infantil
La decisión de tratar a los pacientes con hemangiomas se fundamenta en varios factores, como los siguientes:[
Esta decisión se hace de manera individual para cada paciente y es importante evaluar con detenimiento los riesgos y beneficios del tratamiento.
La American Academy of Pediatrics publicó guías de práctica clínica sobre este tema. Se observó que una intervención terapéutica temprana era importante para prevenir las complicaciones médicas y la desfiguración permanente producidas por los hemangiomas infantiles complejos. Se indicó que el mejor momento para llevar a cabo las intervenciones es en los primeros 1 a 3 meses de vida. Se usaron fotografías para clasificar los hemangiomas de bajo riesgo versus alto riesgo,[
Las opciones de tratamiento para el hemangioma infantil son las siguientes:
Terapia con propranolol
El propranolol, un betabloqueante no selectivo, es una terapia de primera línea para los hemangiomas infantiles. En estudios tempranos se indica que el propranolol quizás actúa al inducir vasoconstricción o disminución de la expresión de VEGF y bFGF, lo que conduce a la apoptosis.[
El efecto del propranolol se observó por primera vez en dos lactantes tratados por problemas cardíacos en Europa. Se observó cambio de color, ablandamiento y disminución del tamaño del hemangioma. Desde entonces, se notificaron los resultados de un ensayo aleatorizado controlado.[
Hay muchos otros informes publicados sobre la eficacia e inocuidad del propranolol.[
Evidencia (terapia con propranolol):
La administración intralesional de propranolol se usa para las lesiones periorbitarias en una capacidad limitada y no se observan ventajas en comparación con la administración oral.[
Se informó sobre varias recomendaciones del comité de consenso de expertos, incluso sobre las recomendaciones de la FDA y la European Medicines Agency después de un ensayo controlado aleatorizado del propranolol oral en pacientes con hemangioma infantil que condujo a la aprobación de la FDA.[
Las consideraciones para el uso del propranolol son las siguientes:[
La evaluación pretratamiento (paciente hospitalizado o ambulatorio) incluye los siguientes aspectos:
En un estudio multicéntrico retrospectivo grande, se analizó la inocuidad de la administración ambulatoria de propranolol y se evaluó la necesidad de la vigilancia. En este estudio, se evaluó a 783 pacientes con 1148 consultas. No se observó bradicardia o hipotensión sintomáticas. La evaluación de la presión sanguínea no fue confiable. Los resultados indicaron la posibilidad de que la evaluación ambulatoria no sea necesaria en los pacientes de riesgo estándar con hemangiomas infantiles.[
En un estudio realizado en Japón se hizo un seguimiento de la hipoglucemia en lactantes con hemangiomas infantiles que iniciaron tratamiento con propranolol.[
Estas complicaciones se notificaron en varios estudios y las complicaciones graves fueron infrecuentes.[
En una revisión retrospectiva de 1260 niños con hemangiomas infantiles tratados con propranolol, se identificaron 26 pacientes (2,1 %) con efectos secundarios que necesitaron la interrupción del propranolol.[
Terapia con betabloqueantes selectivos y de otro tipo
Debido a la naturaleza no selectiva y lipofílica del propranolol y su capacidad de pasar la barrera hematoencefálica, se están usando otros betabloqueantes para tratar los hemangiomas infantiles.
Evidencia (terapia con betabloqueantes):
En un informe publicado, se relacionó el uso de nadolol con la muerte de un lactante (edad, 17 semanas) luego de 10 días sin producción de materia fecal.[
Se necesitan más estudios para evaluar las diferencias de toxicidad entre estos fármacos y el propranolol.
Hay algunos indicios de que los betabloqueantes más selectivos producen menos efectos secundarios.[
Terapia con corticoesteroides
Antes del propranolol, los corticoesteroides eran el tratamiento de primera línea para el hemangioma infantil. Se usaron por primera vez al final de la década de 1950, pero nunca recibieron la aprobación de la FDA de los Estados Unidos para esta indicación. La terapia con corticoesteroides se tornó menos popular debido a los efectos secundarios agudos y a largo plazo de estos fármacos (irritabilidad gastrointestinal, inmunodepresión, inhibición corticosuprarrenal, características cushingoides y retraso del crecimiento).
Los corticoesteroides (prednisona y metilprednisolona) se usan cuando la terapia con betabloqueantes está contraindicada o como tratamiento inicial mientras el paciente comienza a recibir el betabloqueante.[
Terapia con betabloqueantes tópicos
Los betabloqueantes tópicos se usan sobre todo para el tratamiento de hemangiomas superficiales, localizados y pequeños como alternativa a la observación. También se han usado en combinación con terapia sistémica para los hemangiomas complicados o con el fin de prevenir la reactivación en hemangiomas cuando se comienza a disminuir la terapia sistémica.[
Se ha usado timolol tópico en una solución oftálmica de gel al 0,5 %. Se aplica 1 gota en el hemangioma 2 veces por día hasta que se logra una respuesta estable.
Este tratamiento tiene pocos efectos secundarios, pero los lactantes con edad posmenstrual menor de 44 semanas y peso de menos de 2500 g en el momento de iniciar el tratamiento, quizás estén en riesgo de presentar efectos adversos, como bradicardia, hipotensión, apnea e hipotermia.[
Evidencia (terapia con timolol tópico):
Terapia combinada para los hemangiomas complicados
La terapia combinada se considera al inicio del tratamiento para las lesiones complicadas con alteraciones funcionales o compromiso orgánico, o se utiliza al final de la terapia sistémica para prevenir la reactivación del hemangioma. Se necesita más investigación sobre la eficacia e inocuidad de estos regímenes.
Evidencia (terapia combinada para los hemangiomas complicados):
Opciones de tratamiento en evaluación clínica para los hemangiomas infantiles
La información en inglés sobre los ensayos clínicos patrocinados por el Instituto Nacional del Cáncer (NCI) se encuentra en el
El Hemangioma Investigator Group estudia la administración del propranolol en los pacientes de riesgo bajo y estándar mediante consultas virtuales, como consecuencia de la pandemia de COVID-19.[
Ensayos clínicos en curso
Realizar una
Hemangiomas congénitos
Características clínicas y evaluación diagnóstica
A veces los hemangiomas congénitos son difíciles de diagnosticar, en especial, para los médicos que no están familiarizados con estas lesiones. Los criterios diagnósticos incluyen una lesión purpúrica formada por completo en el momento del nacimiento, con frecuencia hay un halo alrededor de la lesión y se observa flujo alto en la imagen ecográfica. Para el diagnóstico es esencial la observación en serie con el fin de detectar una disminución o al menos una estabilización del tamaño con el paso del tiempo. Estas lesiones no aumentan de tamaño a menos que haya hemorragia dentro del tumor.
Los hemangiomas congénitos se subdividen en las siguientes 3 formas:
En una serie de casos retrospectivos de hemangiomas congénitos, se observaron varios hallazgos ecográficos de riesgo alto para RICH. Los lagos venosos se relacionaron con insuficiencia cardíaca y se observó un mayor riesgo de hemorragia con los lagos venosos y la ectasia venosa. Los lactantes con RICH se deben evaluar mediante ecografía y vigilancia rigurosa si se observan estas características de riesgo alto.[

Características moleculares e histopatológicas
Los hemangiomas congénitos son tumores vasculares benignos que proliferan in utero. La evolución de estas lesiones es total al momento de nacer. En el estudio histológico estas lesiones son negativas para GLUT1, a diferencia de los hemangiomas infantiles. Estos hemangiomas suelen ser cutáneos, pero a veces se localizan en las vísceras. Las complicaciones son hemorragia, insuficiencia cardíaca transitoria y coagulopatía transitoria.[
Se encontraron algunas variantes somáticas activadoras de GNAQ y GNA11 que se relacionan con los hemangiomas congénitos.[
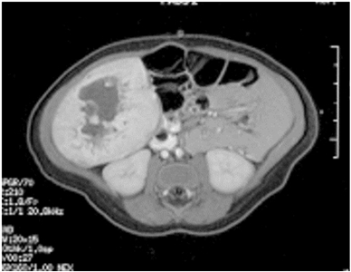
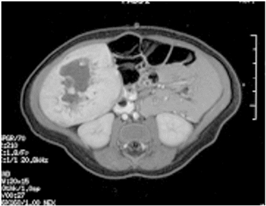
Tumores vasculares hepáticos
A partir de la creación de las nuevas clasificaciones de la OMS y la ISSVA, ha cambiado la terminología de los tumores vasculares hepáticos pediátricos.[
En las IRM, los tumores vasculares hepáticos son hiperintensos en las imágenes T2 e hipotensos en las imágenes T1; las imágenes después del contraste exhiben realce periférico temprano con realce difuso posterior.[
Las lesiones se suelen dividir en las siguientes 3 categorías:[
En una clasificación más adecuada se usa una evaluación interdisciplinar, que incluye la clasificación patológica con evaluación genómica, la evaluación radiológica por imagen, así como los antecedentes y exámenes clínicos; esto se fundamenta en las clasificaciones de la ISSVA y la OMS. En un estudio se analizaron 33 casos de tumores vasculares hepáticos pediátricos a partir de sus características anatomoclínicas desde 1970 hasta 2021.[
Hemangiomas congénitos
Las lesiones hepáticas focales, por lo general son hemangiomas congénitos (RICH o NICH, con poca frecuencia PICH) (consultar la
Las opciones de tratamiento para las lesiones vasculares hepáticas focales son las siguientes:
Ningún medicamento ha demostrado ser un tratamiento eficaz para estas lesiones; los lactantes necesitan apoyo durante este período inicial hasta que comienza la involución.[
Hemangiomas infantiles
Las lesiones hepáticas multifocales son hemangiomas infantiles. Es posible que no sea necesario tratar las lesiones multifocales si el paciente es asintomático; por lo general, estas lesiones siguen el mismo curso proliferativo y de involución que los hemangiomas cutáneos.[
Hemangiomas hepáticos infantiles difusos
Las lesiones hepáticas difusas son muy graves (consultar la
Las opciones de tratamiento de las lesiones hepáticas difusas son las siguientes:
Se notificaron casos aislados de neoplasia maligna en pacientes con hemangiomas infantiles hepáticos difusos.[
El diagnóstico diferencial de las lesiones vasculares hepáticas siempre incluye los tumores hepáticos malignos; por lo tanto, la alfafetoproteína (AFP) se debe incluir en los análisis de laboratorio iniciales. Las concentraciones de AFP son muy altas en todos los recién nacidos, pero disminuyen, en forma rápida, a una concentración normal al cabo de varios meses. Estas concentraciones deben disminuir rápido, pero de no ser así o si tienden a aumentar se debe sospechar un hepatoblastoma. No hay estudios prospectivos en los que se investigue las concentraciones altas de AFP, en pacientes con hemangiomas.[
| Características | Hemangioma congénito hepático (HCH) | Hemangioma infantil hepático (HIH) | Angiosarcoma hepático (AH) | Hemangioendotelio epitelioide hepático (HEHE) |
|---|---|---|---|---|
| ICC = insuficiencia cardíaca congestiva; NICH = hemangioma congénito sin involución; PICH = hemangioma congénito de involución parcial; RICH = hemangioma congénito de involución rápida. | ||||
| a Adaptación de Berklite et al.[ |
||||
| Cuadro clínico inicial | Se observa en el momento del nacimiento, o antes; ICC; coagulopatía transitoria; lesiones únicas; RICH, PICH, con poca frecuencia NICH | Se observa después del nacimiento, por lo general asociado a lesiones cutáneas; lesiones difusas con hipotiroidismo significativo e ICC | Poco frecuente en pediatría, se ha observado en neonatos y niños pequeños; muy maligno | Muy poco frecuente; asociado a otras lesiones (hueso, pulmón); curso variable |
| Imágenes | Lesión sólida | Lesiones múltiples o difusas | Grandes lesiones infiltrativas, pueden ser difusas | Lesiones sólidas o múltiples |
| Características histológicas | Cambios involutivos (calcificación, necrosis), vasos capilares del estroma dilatados y fibróticos | Vasculatura sinusoidal anastomosada, células endoteliales densas de aspecto normal | Atipia citológica marcada, células tumorales infiltrantes, epitelioides a fusiformes, marcada actividad mitótica | Células endoteliales epitelioides en un fondo de estroma mixohialino |
| GLUT1 | Negativo | Positivo | Positivo en el 20 % de los tumores | Negativo |
| Variantes somáticas o fusiones génicas | GNAQ,GNA11 | Ninguno | KRAS,KDR,PTPRB,FLT4,PLCG1,PIK3CA,TP53,TIE1,AKT1,CIC | YAP1::TFE3,WWTR1::CAMTA1 |
Hemangioma fusocelular
Cuadro clínico, características moleculares e histopatológicas
Los hemangiomas fusocelulares, en un comienzo llamados hemangioendoteliomas fusocelulares, a menudo se presentan como lesiones superficiales (piel y tejido subcutáneo) y dolorosas que comprometen las extremidades distales en niños y adultos.[
Es posible ver los hemangiomas fusocelulares en pacientes con síndrome de Maffuci (hemangiomas cutáneos de células fusiformes que se presentan con tumores cartilaginosos y encondromas), el síndrome de Klippel-Trenaunay (malformaciones capilares, linfáticas o venosas), las anomalías linfáticas generalizadas, el linfedema y el trombo organizado.[
Tratamiento del hemangioma fusocelular
No hay un tratamiento estándar para el hemangioma fusocelular porque no se ha estudiado en ensayos clínicos. La extirpación quirúrgica suele ser curativa, aunque hay un riesgo de recidiva.[
Hemangioma epitelioide
Cuadro clínico y características histopatológicas
Los hemangiomas epitelioides (HE) son lesiones benignas que, por lo general, se presentan en la piel y la hipodermis, pero también se presentan en otras áreas, como el hueso, con lesiones focales o multifocales.[
En la evaluación patológica, los hemangiomas epitelioides exhiben capilares de calibre pequeño con citoplasma eosinofílico y vacuolado, y núcleos ovales grandes con surcos y lobulados. Las células endoteliales son células hinchadas y maduras, y se observan vasos bien formados rodeados de múltiples células endoteliales epitelioides con citoplasma abundante. Carecen de atipia celular y actividad mitótica.[
En un estudio de 58 casos de hemangiomas epitelioides, se encontraron reordenamientos del gen FOS en el 29 % de estos. Los reordenamientos del gen FOS se observaron con mayor frecuencia en los hemangiomas epitelioides celulares y en las lesiones intraóseas que en las lesiones de piel, tejido blando, cabeza y cuello. Esta anomalía genética quizás sea útil al momento de distinguir los hemangiomas epitelioides de otros tumores vasculares epitelioides malignos.[
En un informe de 1 sola institución, se revisaron 11 pacientes con hemangiomas epitelioides (mediana de edad, 14,4 años) diagnosticados entre 1999 y 2017. Las lesiones se presentaron en las extremidades inferiores (5 pacientes), el cráneo (3 pacientes), la pelvis (2 pacientes) y la columna (1 paciente). En 5 pacientes, se observó enfermedad multifocal. Los pacientes presentaron dolor localizado y síntomas neurológicos, incluso daño de pares craneales. No se observó atipia citológica significativa y las células endoteliales fueron positivas para CD31 y ERG, y negativas para citoqueratina y CAMPTA1. La mediana de seguimiento fue de 1,5 años. Se usaron varias modalidades de tratamiento, como la cirugía, la embolización endovascular, la crioablación y el tratamiento médico. De los pacientes, 1 recibió sirólimus y otro paciente recibió interferón; en ambos casos las lesiones se redujeron durante el primer año de seguimiento. El paciente más joven, de 2,5 años, presentó lesiones craneales multifocales que remitieron de forma parcial 1 año después sin tratamiento.[
Tratamiento del hemangioma epitelioide
No hay un tratamiento estándar para el hemangioma epitelioide porque no se ha estudiado en ensayos clínicos. El tratamiento a menudo consiste en curetaje, escleroterapia o resección. En casos poco frecuentes, se utiliza radioterapia.[
Granuloma piógeno (hemangioma capilar lobulillar)
Cuadro clínico inicial, características histopatológicas y moleculares
Los granulomas piógenos (PG), que se conocen como hemangiomas capilares lobulillares, son lesiones reactivas benignas. Los granulomas piógenos se presentan en cualquier edad, incluso al nacer (congénitos), durante el período neonatal, la lactancia o el embarazo aunque son más comunes en niños mayores y adultos jóvenes. Estas lesiones pueden surgir de manera espontánea, en sitios de trauma o dentro de malformaciones capilares o arteriovenosas. Los granulomas piógenos también se relacionaron con medicamentos como los anticonceptivos orales y los retinoides.
Se presentan como masas solitarias, pero se han descrito lesiones múltiples (agrupadas) o, de manera infrecuente, lesiones diseminadas.[
Se desconoce la patogenia de los granulomas piógenos relacionados con malformaciones capilares y de los esporádicos. En un estudio se investigó a 10 pacientes con granulomas piógenos derivados de una malformación capilar. Se detectó en 8 pacientes variantes BRAF c.1799T>A, en 1 paciente una variante NRAS c.2A>G y en 1 paciente una variante GNAQ c.548G>A. También se detectó la variante de GNAQ en la malformación capilar subyacente. De 25 pacientes con granulomas piógenos y sin malformaciones capilares, 3 tuvieron variantes BRAF c.1799T>A y 1 paciente tuvo una variante KRAS c.37G>C. Estos hallazgos genéticos contribuirán a las modalidades de tratamiento futuras para este tumor vascular benigno.[
Tratamiento del granuloma piógeno
La escisión de espesor total es el tratamiento con la tasa de recidiva más baja (cerca del 3 %),[
Evidencia (betabloqueantes tópicos):
Angiofibroma
Cuadro clínico inicial
Los angiofibromas son neoplasias benignas poco frecuentes en la población pediátrica. Por lo general, son lesiones cutáneas relacionadas con esclerosis tuberosa, que se ven como pápulas rojas en la cara.
Tratamiento del angiofibroma
Se han utilizado la escisión del tumor, los tratamientos con láser y los tratamientos tópicos como el sirólimus.[
Evidencia (sirólimus tópico):
Angiofibroma nasofaríngeo juvenil
Cuadro clínico inicial y características histopatológicas
Los angiofribromas nasofaríngeos juveniles representan el 0,5 % de todos los tumores de cabeza y cuello.[
Pese a sus características histológicas benignas, es posible que los angiofibromas nasofaríngeos juveniles sean destructivos a nivel local, al diseminarse desde la cavidad nasal a la nasofaringe, los senos paranasales, la órbita y la base del cráneo con extensión intracraneal. En algunas publicaciones se indicó una influencia hormonal en los angiofibromas nasofaríngeos juveniles, con énfasis en los mecanismos moleculares participantes.[
Tratamiento del angiofibroma nasofaríngeo juvenil
Si bien la escisión quirúrgica es el tratamiento preferido, quizás sea difícil debido a la extensión de la lesión. En una revisión retrospectiva de una sola institución sobre los angiofibromas nasofaríngeos juveniles, se identificó a 37 pacientes con diseminación lateral.[
Los angiofibromas nasofaríngeos juveniles también se han tratado con radioterapia, quimioterapia, terapia con interferón α y sirólimus.[
Referencias:
Hemangioendotelioma kaposiforme y angioma en penacho
El hemangioendotelioma kaposiforme y el angioma en penacho son tumores vasculares infrecuentes que se presentan de manera típica durante la lactancia o la niñez temprana, pero también se notificaron casos en adultos. Se cree que ambos tumores constituyen variantes de la misma enfermedad, porque ambos pueden ser localmente invasores y causar el fenómeno de Kasabach-Merritt, una coagulopatía grave potencialmente mortal caracterizada por trombocitopenia profunda e hipofibrinogenemia. En este texto se tratan como una sola entidad: hemangioendotelioma kaposiforme.
Incidencia
Aunque no se conoce la incidencia exacta del hemangioendotelioma kaposiforme, se estima que sea de 0,07 casos anuales por cada 100 000 niños.[
Cuadro clínico inicial
El hemangioendotelioma kaposiforme por lo general compromete las extremidades; es menos frecuente que afecte el tronco y el área de la cabeza y el cuello.[
Entre los pacientes con hemangioendotelioma kaposiforme, del 50 % al 70 % presentan el fenómeno de Kasabach-Merritt, una complicación potencialmente mortal. El riesgo de presentar el fenómeno de Kasabach-Merritt es más alto en los pacientes con lesiones congénitas, lesiones de más de 8 cm y cuando el hemangioendotelioma kaposiforme se origina en el retroperitoneo o el mediastino.[
Características histopatológicas
El hemangioendotelioma kaposiforme se caracteriza por capas de células fusiformes con un modelo infiltrante en la dermis, la grasa subcutánea y el músculo. A menudo hay áreas de fibrosis, con vasos dilatados de pared delgada infiltrados en torno a las áreas de células fusiformes. Mezcladas dentro de estas áreas hay focos de células epitelioides redondeadas de origen vascular y conjuntos de capilares con lúmenes de forma redondeada o irregular que contienen trombos ricos en plaquetas y fibrina. Por lo general, hay espacios linfáticos anormales dentro de la lesión o en la periferia. La tasa de mitosis es variable, pero suele ser baja. El angioma en penacho se caracteriza por múltiples lobulillos independientes formados por grupos densos de capilares (penachos) dispersos en la dermis y, a veces, en la hipodermis, en una configuración conocida como bala de cañón.[
Se tiene poco conocimiento sobre la patogenia. Hay algunos indicios de que el hemangioendotelioma kaposiforme se deriva del endotelio linfático, porque las células fusiformes expresan los marcadores vasculares CD31 y CD34, el receptor del factor de crecimiento endotelial vascular-3 (VEGFR-3) (receptor necesario para la linfangiogénesis) y los marcadores linfáticos D2-40 y PROX1.[
Los datos genómicos son escasos. Se notificó una pequeña cantidad de pacientes con variantes de GNA14, pero no en todos los casos.[
Se han encontrado concentraciones séricas altas de angiopoyetina-2 (Ang-2) en pacientes de riesgo alto con hemangioendotelioma kaposiforme y linfangiomatosis kaposiforme. También se observó que las concentraciones de Ang-2 disminuyeron como respuesta al tratamiento con sirólimus, lo que aumenta la posibilidad de que tenga un efecto en las células endoteliales del hemangioendotelioma kaposiforme.[
Evaluación diagnóstica
Para el diagnóstico se tiene en cuenta la combinación de las características clínicas, histológicas y de imágenes. La evaluación de laboratorio es esencial para el diagnóstico del fenómeno de Kasabach-Merritt. Siempre que sea posible, se debe obtener confirmación histológica porque a menudo se necesita un tratamiento prolongado. Sin embargo, si los hallazgos clínicos y de imágenes son muy indicativos del diagnóstico, aplazar la biopsia quizás sea una opción, pero esto debe decidirse mediante un análisis y enfoque interdisciplinarios.
Las imágenes por resonancia magnética (IRM) son la modalidad de imagen preferida, en especial, para el hemangioendotelioma kaposiforme que se presenta con el fenómeno de Kasabach-Merritt y lesiones grandes. Las secuencias ponderadas en T1 por lo general muestran una masa de tejido blando mal circunscrito con engrosamiento del tejido blando y dérmico, y realce difuso con gadolinio. En las secuencias ponderadas en T2, se observa un aumento difuso en la señal, con trabeculación en la grasa subcutánea. Las secuencias de gradiente muestran los vasos ligeramente dilatados en la masa de tejido blando y alrededor de esta.[
En las lesiones pequeñas y superficiales, es posible que la ecografía sea útil para el diagnóstico, además, esta ayuda a diferenciar el angioma en penacho del hemangioendotelioma kaposiforme. Los angiomas en penacho son hiperecoicos, más superficiales y tienen bordes bien definidos. El hemangioendotelioma kaposiforme tiene una configuración más infiltrante , con bordes mal definidos y ecogenicidad mixta. También presentan más densidad vascular que los angiomas en penacho.[
Tratamiento del hemangioendotelioma kaposiforme y el angioma en penacho
Tratamiento del hemangioendotelioma kaposiforme y el angioma en penacho sin complicaciones
No hay un estándar de atención que se fundamente en la evidencia científica para los hemangioendoteliomas kaposiformes ni para los angiomas en penacho. El tratamiento varía según el tamaño, la localización, la presencia de síntomas y la gravedad de la coagulopatía.
Las opciones de tratamiento para los hemangioendoteliomas kaposiformes y los angiomas en penacho sin complicaciones son las siguientes:
La observación es una opción para los pacientes con tumores de riesgo bajo (es decir, sin el fenómeno de Kasabach-Merritt, tumores pequeños, asintomáticos). Se ha notificado regresión espontánea o estabilidad.[
Es posible tratar con escisión quirúrgica, láser de colorante pulsado o fármacos tópicos (esteroides, sirólimus o tacrólimus) los hemangioendoteliomas kaposiformes y los angiomas en penacho localizados que no son complicados.[
Se notificó que el propranolol es una opción de tratamiento para los pacientes con hemangioendoteliomas kaposiformes según los resultados positivos que se obtuvieron con el uso de este medicamento en otros tumores vasculares más benignos. Los resultados han sido contradictorios; un informe señala mejora de la eficacia con dosis más altas de propranolol.[
Tratamiento del hemangioendotelioma kaposiforme y el angioma en penacho complicados
Los pacientes con el fenómeno de Kasabach-Merritt o compromiso funcional y que presentan síntomas necesitan tratamiento intensivo. Un panel multidisciplinario de expertos de los Estados Unidos y Canadá publicó directrices para el tratamiento de los hemangioendoteliomas kaposiformes complicados.[
Las opciones de tratamiento de los hemangioendoteliomas kaposiformes complicados y con el fenómeno de Kasabach-Merritt son las siguientes:
Vincristina con terapia con corticoesteroides o sin esta
El tratamiento más común para los hemangioendoteliomas kaposiformes complicados con el fenómeno de Kasabach-Merritt o sin este ha sido, tradicionalmente, la terapia con corticoesteroides con vincristina u otros fármacos o sin estos.[
Se observó una respuesta hematológica y una reducción del volumen tumoral en pacientes con hemangioendoteliomas kaposiformes de riesgo alto con el uso de vincristina.[
En 2013, se propuso en las pautas consensuadas para el tratamiento de los hemangioendoteliomas kaposiformes complicados, sobre la base de la evidencia disponible, el uso de vincristina con esteroides o sin estos como terapia de primera línea. Esta recomendación se fundamentó en la evidencia disponible.[
Sirólimus con terapia de corticoesteroides o sin esta
A partir de informes de casos, series de casos y un ensayo clínico prospectivo promisorios, es posible que se considere el sirólimus como una terapia de primera línea alternativa para los pacientes con hemangioendoteliomas kaposiformes.[
Evidencia (tratamiento con sirólimus):
La mayoría de pacientes de riesgo alto (hemangioendotelioma kaposiforme con fenómeno de Kasabach-Merritt), se tratan con sirólimus para lograr concentraciones séricas de 8 ng/ml a 15 ng/ml.[
Cuidados médicos de apoyo y seguimiento minucioso de los lactantes que reciben sirólimus
En un informe de caso, se describió a 2 niños con hemangioendoteliomas kaposiformes y síndrome de Kasabach-Merritt que murieron por infecciones pulmonares después del tratamiento con sirólimus.[
Escisión quirúrgica
Quizá sea posible la escisión quirúrgica de las lesiones que no responden al tratamiento médico o que ponen en peligro la vida. La embolización se puede realizar junto con la cirugía o la terapia médica; por lo general, se trata de una medida temporal.[
Desenlaces a largo plazo
Aún después del tratamiento, estas lesiones no remiten por completo y es posible que recidiven. Los síntomas (dolor e inflamación) empeoran con la edad; en especial, alrededor de la pubertad.[
Los efectos a largo plazo son dolor crónico, linfedema, insuficiencia cardíaca y problemas ortopédicos.[
Opciones de tratamiento en evaluación clínica para el hemangioendotelioma kaposiforme
La información en inglés sobre los ensayos clínicos patrocinados por el Instituto Nacional del Cáncer (NCI) se encuentra en el
Referencias:
Los tumores vasculares intermedios (casi nunca hacen metástasis) son los siguientes:
Hemangioendotelioma pseudomiogénico (similar al sarcoma epitelioide)
Cuadro clínico inicial
Los hemangioendoteliomas pseudomiogénicos por lo general se presentan en hombres jóvenes de 20 a 50 años.[
Características moleculares e histopatológicas
Los hemangioendoteliomas pseudomiogénicos son tumores vasculares distintivos raros designados hace poco. Se caracterizan como tumores de grado intermedio con diseminación local, de comportamiento maligno moderado y enfermedad metastásica distante poco frecuente. La etiopatogenia de este tumor no está clara, aunque se notificó una translocación equilibrada t(7;19) que da lugar al gen de fusión SERPINE1::FOSB.[
Los hemangioendoteliomas pseudomiogénicos se caracterizan por fascículos sueltos de células fusiformes hinchadas y células epitelioides con abundantes eosinófilos, citoplasma y coexpresión de queratinas y marcadores endoteliales.[
Tratamiento del hemangioendotelioma pseudomiogénico
La mayoría de los pacientes con hemangioendoteliomas pseudomiogénicos se tratan con cirugía, que incluye amputación para la enfermedad ósea multifocal.[
Hemangioendotelioma retiforme
Cuadro clínico inicial
Los hemangioendoteliomas retiformes son tumores de crecimiento lento, exofíticos o planos que se encuentran en adultos jóvenes y, en ocasiones, en niños.[
Características histopatológicas
Desde el punto de vista histológico, los hemangioendoteliomas retiformes se encuentran en la dermis y el tejido subcutáneo. Los vasos exhiben un modelo parecido a la red testicular y están revestidos por células endoteliales que sobresalen. No expresan marcadores linfáticos, pero la tinción es positiva para la expresión de marcadores endoteliales.[
Tratamiento del hemangioendotelioma retiforme
El tratamiento para los pacientes con hemangioendoteliomas retiformes incluye la escisión quirúrgica con márgenes del tumor adecuados y observación para la recidiva local. Hay informes de casos que describen el uso de radioterapia y quimioterapia para los tumores inoperables y recidivantes.[
Angioendotelioma papilar intralinfático
Cuadro clínico inicial
Es posible que los angioendoteliomas papilares intralinfáticos, que también se conocen como tumores de Dabska, se presenten en adultos y niños.[
Características histopatológicas
Desde el punto de vista patológico, las lesiones del angioendotelioma papilar intralinfático revelan el crecimiento intravascular de células endoteliales bien diferenciadas en una configuración columnar. Tienen paredes hialinas gruesas con endotelio de aspecto claveteado. En la mayoría de los casos, expresan el receptor del factor de crecimiento vascular endotelial de tipo 3. La atipia citológica es mínima.[
Tratamiento del angioendotelioma papilar intralinfático
La escisión quirúrgica es el tratamiento preferido para los pacientes con angioendoteliomas papilares intralinfáticos.[
Hemangioendotelioma compuesto
Cuadro clínico inicial
Los hemangioendoteliomas compuestos se suelen presentar en la dermis y la hipodermis de las extremidades distales, pero se han encontrado en otras áreas como la cabeza, el cuello y el mediastino.[
Los hemangioendoteliomas compuestos recidivan a nivel local y pocas veces metastatizan.[
Características histopatológicas
Los hemangioendoteliomas compuestos son tumores vasculares muy infrecuentes clasificados como intermedios debido a los componentes vasculares benignos y malignos combinados. Por lo general, se observan variantes epitelioides y retiformes mixtas, pero algunos tumores tienen 3 componentes (epitelioide, retiforme y fusiforme).[
Tratamiento del hemangioendotelioma compuesto
La extirpación quirúrgica es el tratamiento de elección para los pacientes con hemangioendoteliomas compuestos, aunque se ha utilizado radioterapia y quimioterapia para la enfermedad metastásica.[
Sarcoma de Kaposi
Cuadro clínico inicial
El sarcoma de Kaposi es un tumor vascular maligno raro vinculado con una etiología viral (virus del herpes humano 8).[
En un estudio retrospectivo se investigó la presentación clínica del sarcoma de Kaposi en niños de áreas endémicas de África. Los niños suelen presentar lesiones cutáneas, linfadenopatía y lesiones intratorácicas y orales. Las lesiones cutáneas al inicio se ven como máculas rojas, púrpuras o marrones que después se convierten en placas y luego en nódulos.[
Tratamiento del sarcoma de Kaposi
Los niños con sarcoma de Kaposi han presentado reacciones favorables al tratamiento con regímenes de quimioterapia que incluyen bleomicina, vincristina y taxanos, aunque no hay ensayos clínicos prospectivos. Hay pocos estudios fundamentados en la evidencia porque el sarcoma de Kaposi es infrecuente en la población pediátrica.
Evidencia (quimioterapia):
En una serie retrospectiva, se trató a 207 niños y adolescentes con sarcoma de Kaposi endémico o relacionado con el VIH con protocolos no especificados y TAR entre 2006 y 2015. En el estudio se notificó una tasa de SG a 7 años del 37 % (76 pacientes). De estos pacientes, el 62 % presentó respuestas completas y el 8 % respuestas parciales estables. De los pacientes con respuestas completas, 4 recibieron tratamiento con TAR sin quimioterapia.[
Incluso en adultos, la evidencia y la calidad de los estudios son deficientes por lo que es difícil recomendar regímenes de un tratamiento en particular. Otras opciones de tratamiento se fundamentan en los estudios de adultos (consultar a continuación).
En una revisión sistemática del tratamiento de sarcoma de Kaposi clásico, se revisaron 26 artículos publicados entre 1980 y 2010. En los artículos se describieron poblaciones de riesgo alto por trasplante previo y se excluyeron los casos de sarcoma de Kaposi endémico y epidémico.[
Se notificaron las siguientes tasas de respuesta para las terapias locales:
Para obtener más información sobre el tratamiento del sarcoma de Kaposi en adultos, consultar
Referencias:
Los tumores vasculares malignos son los siguientes:
Hemangioendotelioma epitelioide
Incidencia y desenlace
En 1982, Weiss y Enzinger describieron por primera vez el hemangioendotelioma epitelioide en el tejido blando. Estos tumores a veces se presentan en pacientes más jóvenes, pero la incidencia máxima se ubica en la cuarta y quinta década de vida. El número de pacientes pediátricos que se mencionan en la bibliografía es reducido.
Los hemangioendoteliomas epitelioides pueden tener una evolución poco activa o de gran malignidad; la tasa de supervivencia general a 5 años es del 73 %. Hay informes de casos de pacientes con lesiones múltiples que no recibieron tratamiento y que presentaron una evolución muy benigna. Sin embargo, otros pacientes presentan una evolución muy maligna. Algunos patólogos han tratado de estratificar a los pacientes para evaluar los riesgos y ajustar el tratamiento, pero se necesita llevar a cabo más investigación sobre este tema.[
En una serie de casos multiinstitucional se informó de 24 pacientes en edades de 2 a 26 años con hemangioendoteliomas epitelioides.[
La presencia de efusiones, un tamaño tumoral mayor de 3 cm y un índice mitótico alto (>3 mitosis/50 campos de gran aumento) se han relacionado con desenlaces desfavorables.[
Cuadro clínico inicial y evaluación diagnóstica
Los sitios comunes de compromiso son los siguientes: solo el hígado (21 %), el hígado y los pulmones (18 %), solo pulmones (12 %) y solo los huesos (14 %).[
Alteraciones genómicas y características histopatológicas
En la mayoría de los pacientes se encontraron las fusiones génicas WWTR1::CAMTA1. Con menos frecuencia, se notificaron las fusiones génicas YAP1::TFE3.[
Desde el punto de vista histológico, estas lesiones se caracterizan como lesiones epitelioides dispuestas en nidos, hebras y trabéculas, con pocos espacios vasculares. Las características que quizá se relacionen con un comportamiento clínico muy maligno incluyen atipia celular, una o más mitosis por 10 campos de gran aumento, un incremento en la proporción de células fusiformes, necrosis focal y formación ósea metaplásica.[
Tratamiento del hemangioendotelioma epitelioide
Las opciones de tratamiento del hemangioendotelioma epitelioide son las siguientes:
Para los casos de poca malignidad, se justifica la observación. La cirugía se realiza siempre que la resección sea posible. El trasplante de hígado se ha utilizado para lesiones hepáticas muy malignas, con metástasis o sin estas.[
Para los casos de gran malignidad se han usado una variedad de fármacos, como interferón, talidomida, sorafenib, pazopanib y sirólimus.[
En una serie de casos multiinstitucional, se informó de 24 pacientes en edades de 2 a 26 años con hemangioendotelioma epitelioide.[
Un informe de 2020 sobre el tratamiento con sirólimus en niños tuvo como objetivo aportar información a la experiencia previa con sirólimus en adultos. En una revisión retrospectiva, se identificaron 6 pacientes pediátricos con hemangioendotelioma epitelioide diseminado tratados con sirólimus.[
En un informe del European paediatric Soft Tissue Sarcoma Study Group se analizaron 10 pacientes con enfermedad localizada y 1 paciente con enfermedad metastásica de dos estudios.[
Los pacientes o familiares que deseen explorar otras terapias para la enfermedad deben contemplar la participación en ensayos con abordajes terapéuticos nuevos porque no hay fármacos estándar que hayan demostrado actividad clínica significativa.
Independientemente de si se decide continuar con una terapia dirigida a la enfermedad en el momento de la progresión, el objetivo principal del tratamiento sigue siendo el cuidado paliativo. Esto garantiza que se aumenta al máximo la calidad de vida mientras se intenta reducir el estrés de la enfermedad terminal.
Opciones de tratamiento en evaluación clínica para el hemangioendotelioma epitelioide
La información en inglés sobre los ensayos clínicos patrocinados por el Instituto Nacional del Cáncer (NCI) se encuentra en el
Ensayos clínicos en curso
Realizar una
Angiosarcoma
Incidencia y cuadro clínico inicial
Los angiosarcomas son tumores vasculares raros (representan el 2 % de los sarcomas) y de gran malignidad que se presentan en cualquier parte del cuerpo, pero son más comunes en los tejidos blandos. Se estima que la incidencia del angiosarcoma es de 2 casos por millón de personas. En los Estados Unidos, cada año afecta a alrededor de 600 personas que suelen tener entre 60 y 70 años.[
Los angiosarcomas son muy infrecuentes en los niños. No está claro si las características fisiopatológicas de los angiosarcomas en niños difieren de la de los angiosarcomas en adultos. Se notificaron casos en recién nacidos y lactantes mayores que presentaron al inicio lesiones cutáneas y hepáticas múltiples, algunas de las cuales expresan GLUT1.[
La nomenclatura de estas lesiones hepáticas ha sido difícil y confusa debido al uso de la terminología obsoleta propuesta en 1971 (por ejemplo, hemangioendotelioma tipo 1: hemangioma infantil; hemangioendotelioma tipo II: angiosarcoma de grado bajo; hemangioendotelioma de tipo III: angiosarcoma de grado alto).[
Factores de riesgo
Los factores de riesgo establecidos incluyen los siguientes:[
Alteraciones genómicas y características histopatológicas
Los angiosarcomas son tumores en su mayoría aneuploides. Los escasos casos de angiosarcoma que surgen de lesiones benignas, como los hemangiomas, siguen una vía distintiva que requiere investigación. En el angiosarcoma inducido por radiación se observa amplificación de MYC. Se observaron variantes de KDR y amplificaciones de FLT4 con una frecuencia inferior al 50 %.[
Es posible que el diagnóstico histopatológico sea muy difícil porque a veces hay áreas de atipia variada. Una característica común del angiosarcoma es una red irregular de canales en un modelo de disección a lo largo de haces de colágeno dérmico. Hay variación de forma y tamaño celular, mitosis, múltiples capas de endotelio y formación papilar. También puede haber células epitelioides. La necrosis y la hemorragia son comunes. Los tumores se tiñen para analizar el factor VIII, el CD31 y el CD34. Algunas lesiones hepáticas se parecen a los hemangiomas infantiles y tienen expresión focal de GLUT1.[
Tratamiento del angiosarcoma
Las opciones de tratamiento del angiosarcoma son las siguientes:
Cirugía
Es posible curar la enfermedad localizada mediante cirugía radical. La resección quirúrgica completa es fundamental para la supervivencia a largo plazo de pacientes con angiosarcomas y linfangiosarcomas, pese a la evidencia de que el tumor se encoge en algunos pacientes tratados con terapia local o sistémica.[
Evidencia (cirugía):
Radioterapia
La enfermedad localizada, en especial los angiosarcomas cutáneos, se pueden tratar con radioterapia o quimioterapia combinada (por ejemplo, paclitaxel) y radioterapia.[
Cirugía, quimioterapia y radioterapia
El tratamiento multimodal con cirugía, quimioterapia sistémica y radioterapia se usa para la enfermedad metastásica, aunque rara vez es curativo.[
Un niño con diagnóstico de angiosarcoma secundario a una transformación maligna de un hemangioma infantil, respondió al tratamiento con bevacizumab (anticuerpo monoclonal contra el factor de crecimiento endotelial vascular) combinado con quimioterapia sistémica.[
Los inhibidores biológicos de la angiogénesis han mostrado actividad en adultos con angiosarcomas.[
Hay un informe de caso de un paciente pediátrico con angiosarcoma cardiaco metastásico que recibió tratamiento exitoso con quimioterapia convencional, radiación, cirugía y terapias dirigidas, que incluyeron el pazopanib.[
Cuidados paliativos
Independientemente de si se decide continuar con una terapia dirigida a la enfermedad en el momento de la progresión, el objetivo principal del tratamiento siguen siendo los cuidados paliativos. Esto garantiza que se aumenta al máximo la calidad de vida mientras se intenta reducir el estrés de la enfermedad terminal.
Opciones de tratamiento en evaluación clínica para el angiosarcoma
Los pacientes o familiares que deseen explorar otras terapias para la enfermedad deben contemplar la participación en ensayos con abordajes terapéuticos nuevos porque no hay fármacos estándar que hayan demostrado actividad clínica significativa.
La información en inglés sobre los ensayos clínicos patrocinados por el Instituto Nacional del Cáncer (NCI) se encuentra en el
Ensayos clínicos en curso
Realizar una
Referencias:
Los resúmenes del PDQ con información sobre el cáncer se revisan con regularidad y se actualizan a medida que se obtiene nueva información. Esta sección describe los cambios más recientes introducidos en este resumen a partir de la fecha arriba indicada.
Se añadió
El
Propósito de este resumen
Este resumen de información del PDQ sobre el cáncer dirigido a profesionales de la salud proporciona información integral revisada por expertos y basada en la evidencia sobre el tratamiento de los tumores vasculares infantiles. El objetivo es servir como fuente de información y ayuda para los profesionales clínicos durante la atención de pacientes. No ofrece pautas ni recomendaciones formales para tomar decisiones relacionadas con la atención sanitaria.
Revisores y actualizaciones
El
Cada mes, los integrantes de este consejo revisan los artículos publicados recientemente para determinar lo siguiente:
Los cambios en los resúmenes se deciden mediante consenso de los integrantes del consejo después de evaluar la solidez de la evidencia de los artículos publicados y determinar la forma de incorporar el artículo en el resumen.
Los revisores principales del sumario sobre Tratamiento de los tumores vasculares infantiles son:
Cualquier comentario o pregunta sobre el contenido de este resumen se debe enviar al
Niveles de evidencia
Algunas de las referencias bibliográficas de este resumen se acompañan del nivel de evidencia. El propósito de esto es ayudar al lector a evaluar la solidez de la evidencia que respalda el uso de ciertas intervenciones o abordajes. El
Permisos para el uso de este resumen
PDQ (Physician Data Query) es una marca registrada. Se autoriza el uso del texto de los documentos del PDQ; sin embargo, no se podrá identificar como un resumen de información sobre cáncer del PDQ del NCI, salvo que el resumen se reproduzca en su totalidad y se actualice de manera periódica. Por otra parte, se permitirá que un autor escriba una oración como "En el resumen del PDQ del NCI de información sobre la prevención del cáncer de mama se describen, de manera concisa, los siguientes riesgos: [incluir fragmento del resumen]".
Se sugiere citar la referencia bibliográfica de este resumen del PDQ de la siguiente forma:
PDQ® sobre el tratamiento pediátrico. PDQ Tratamiento de los tumores vasculares infantiles. Bethesda, MD: National Cancer Institute. Actualización: <MM/DD/YYYY>. Disponible en:
Las imágenes en este resumen se reproducen con autorización del autor, el artista o la editorial para uso exclusivo en los resúmenes del PDQ. La utilización de las imágenes fuera del PDQ requiere la autorización del propietario, que el Instituto Nacional del Cáncer no puede otorgar. Para obtener más información sobre el uso de las ilustraciones de este resumen o de otras imágenes relacionadas con el cáncer, consultar
Cláusula sobre el descargo de responsabilidad
Según la solidez de la evidencia, las opciones de tratamiento se clasifican como "estándar" o "en evaluación clínica". Estas clasificaciones no se deben utilizar para justificar decisiones sobre reembolsos de seguros. Para obtener más información sobre la cobertura de seguros, consultar la página
Comuníquese con el Instituto Nacional del Cáncer
Para obtener más información sobre las opciones para comunicarse con el NCI, incluso la dirección de correo electrónico, el número telefónico o el chat, consultar la página del
Última revisión: 2025-01-08
Esta información no reemplaza el consejo de un médico. Ignite Healthwise, LLC, niega toda garantía y responsabilidad por el uso de esta información. El uso que usted haga de esta información implica que usted acepta los
Healthwise, Healthwise para cada decisión de la salud, y el logo de Healthwise son marcas de fábrica de Ignite Healthwise, LLC.
Los planes individuales y familiares de seguro médico y dental están asegurados por Cigna Health and Life Insurance Company (CHLIC), Cigna HealthCare of Arizona, Inc., Cigna HealthCare of Illinois, Inc., Cigna HealthCare of Georgia, Inc., Cigna HealthCare of North Carolina, Inc., Cigna HealthCare of South Carolina, Inc. y Cigna HealthCare of Texas, Inc. Los planes de beneficios de salud y de seguro de salud de grupo están asegurados o administrados por CHLIC, Connecticut General Life Insurance Company (CGLIC) o sus afiliadas (puedes ver
Todas las pólizas de seguros y los planes de beneficios de grupo contienen exclusiones y limitaciones. Para conocer la disponibilidad, los costos y detalles completos de la cobertura, comunícate con un agente autorizado o con un representante de ventas de Cigna. Este sitio web no está dirigido a los residentes de New Mexico.